GFAP antibody - 173 002

GFAP is an astrocyte-specific type-III intermediate filament protein
Rabbit polyclonal antiserum
Cat. No.: 173 002
Amount: 200 µl
Price: $365.00
Cat. No. 173 002 200 µl antiserum, lyophilized. For reconstitution add 200 µl H2O, then aliquot and store at -20°C until use.
Antibodies should be stored at +4°C when still lyophilized. Do not freeze!
Applications
 
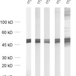
WB: 1 : 1000 (AP staining) (see remarks) gallery  
IP: yes
ICC: 1 : 1000 gallery  
IHC: 1 : 500 gallery  
IHC-P: 1 : 1000 up to 1 : 5000 gallery  
ELISA

Western blot (WB); separation of proteins by PAGE and subsequent transfer to a membrane. Detection of target molecules is carried out with antibodies. Some antibodies require special sample preparation steps. For details, please refer to the “Remarks” section.

Immunoprecipitation (IP); Immunoisolation or pulldown of a target molecule using an antibody. For details and product specific hints, please refer to the ”Remarks” section.

Immunocytochemistry (ICC) on 4% PFA fixed cells. Immunoreactivity is usually revealed by fluorescence. Some antibodies require special fixation methods. For details, please refer to the “Remarks” section.

Immunohistochemistry (IHC) on 4% PFA perfusion fixed tissue with 24h PFA post fixation. Immunoreactivity is usually revealed by fluorescence or a chromogenic substrate. Some antibodies require special fixation methods or antigen retrieval steps. For details, please refer to the ”Remarks” section.

Immunohistochemistry (IHC-P) of formalin fixed, paraffin embedded (FFPE) tissue (some antibodies require special antigen retrieval steps, please refer to the ”Remarks” section). Immunoreactivity is usually revealed by fluorescence or a chromogenic substrate.

Enzyme-linked immunosorbent assay (ELISA); a frequently employed method to quantify target-molecules in solution. The detection of some proteins requires special solubilization steps. For further information, please refer to the „Remarks“ section.

Immunogen full-length recombinant human GFAP (UniProt Id: P14136)
Reactivity Reacts with: human (P14136), rat (P47819), mouse (P03995), chicken, zebrafish.
Other species not tested yet.
Specificity Specific for GFAP, detects all isoforms.
Matching control protein/peptide 173-0P
Remarks

WB: The polyclonal antibodies are more sensitive compared to the monoclonals.

Data sheet Datasheet 173_002

References for GFAP - 173 002

Sonic hedgehog expression in the postnatal brain.
Rivell A, Petralia RS, Wang YX, Clawson E, Moehl K, Mattson MP, Yao PJ
Biology open (2019) : . 173 002 WB; tested species: rat
Distinct in vivo roles of secreted APP ectodomain variants APPsα and APPsβ in regulation of spine density, synaptic plasticity, and cognition.
Richter MC, Ludewig S, Winschel A, Abel T, Bold C, Salzburger LR, Klein S, Han K, Weyer SW, Fritz AK, Laube B, et al.
The EMBO journal (2018) : . 173 002 WB, IHC; tested species: mouse
Synaptotagmin-12 phosphorylation by cAMP-dependent protein kinase is essential for hippocampal mossy fiber LTP.
Kaeser-Woo YJ, Younts TJ, Yang X, Zhou P, Wu D, Castillo PE, Südhof TC
The Journal of neuroscience : the official journal of the Society for Neuroscience (2013) 3323: 9769-80. 173 002 WB
Retinal ganglion cell survival and functional maturation in transiently vascularized human retinal organoids.
Sharma K, Habibey R, Ribeiro MM, Cui B, Siwicki RA, Striebel J, Pawlick JS, Zorn J, Utz L, Renner M, Picelli S, et al.
Cell stem cell (2026) : . 173 002 ICC; tested species: human
Establishment of autaptic culture with human-induced pluripotent stem cell-derived astrocytes.
Uchino K, Tanaka Y, Kawaguchi S, Kubota K, Watanabe T, Katsurabayashi S, Hirose S, Iwasaki K
iScience (2022) 258: 104762. 173 002 ICC; tested species: human
Pharmacological perturbation of CXCL1 signaling alleviates neuropathogenesis in a model of HEVA71 infection.
Gunaseelan S, Ariffin MZ, Khanna S, Ooi MH, Perera D, Chu JJH, Chua JJE
Nature communications (2022) 131: 890. 173 002 ICC; tested species: rat
Extracellular matrix remodeling through endocytosis and resurfacing of Tenascin-R.
Dankovich TM, Kaushik R, Olsthoorn LHM, Petersen GC, Giro PE, Kluever V, Agüi-Gonzalez P, Grewe K, Bao G, Beuermann S, Hadi HA, et al.
Nature communications (2021) 121: 7129. 173 002 ICC; tested species: rat
Drebrin controls scar formation and astrocyte reactivity upon traumatic brain injury by regulating membrane trafficking.
Schiweck J, Murk K, Ledderose J, Münster-Wandowski A, Ornaghi M, Vida I, Eickholt BJ
Nature communications (2021) 121: 1490. 173 002 ICC, IHC; tested species: mouse
Dopamine Receptor Activation Modulates the Integrity of the Perisynaptic Extracellular Matrix at Excitatory Synapses.
Mitlöhner J, Kaushik R, Niekisch H, Blondiaux A, Gee CE, Happel MFK, Gundelfinger E, Dityatev A, Frischknecht R, Seidenbecher C
Cells (2020) 92: . 173 002 ICC; tested species: rat
Auxiliary α2δ1 and α2δ3 Subunits of Calcium Channels Drive Excitatory and Inhibitory Neuronal Network Development.
Bikbaev A, Ciuraszkiewicz-Wojciech A, Heck J, Klatt O, Freund R, Mitlöhner J, Enrile Lacalle S, Sun M, Repetto D, Frischknecht R, Ablinger C, et al.
The Journal of neuroscience : the official journal of the Society for Neuroscience (2020) 4025: 4824-4841. 173 002 ICC; tested species: rat
Biallelic Mutations in TSC2 Lead to Abnormalities Associated with Cortical Tubers in Human iPSC-Derived Neurons.
Winden KD, Sundberg M, Yang C, Wafa SMA, Dwyer S, Chen PF, Buttermore ED, Sahin M
The Journal of neuroscience : the official journal of the Society for Neuroscience (2019) 3947: 9294-9305. 173 002 ICC; tested species: human
Glia-to-neuron transfer of miRNAs via extracellular vesicles: a new mechanism underlying inflammation-induced synaptic alterations.
Prada I, Gabrielli M, Turola E, Iorio A, D'Arrigo G, Parolisi R, De Luca M, Pacifici M, Bastoni M, Lombardi M, Legname G, et al.
Acta neuropathologica (2018) 1354: 529-550. 173 002 ICC; tested species: mouse
Long-term culture of astrocytes attenuates the readily releasable pool of synaptic vesicles.
Kawano H, Katsurabayashi S, Kakazu Y, Yamashita Y, Kubo N, Kubo M, Okuda H, Takasaki K, Kubota K, Mishima K, Fujiwara M, et al.
PloS one (2012) 710: e48034. 173 002 ICC
Duloxetine ameliorates cerebral ischemic injury by inhibiting autophagy.
Viotti A, Molinaro C, Perego J, Fossaghi A, Parravicini C, Laurenzano E, Borreca A, Piccoli M, Anastasia L, Manenti S, Finardi A, et al.
Autophagy (2026) : . 173 002 IHC; tested species: mouse
Exploring Cannabinoids with Enhanced Binding Affinity for Targeting the Expanded Endocannabinoid System: A Promising Therapeutic Strategy for Alzheimer's Disease Treatment.
Stanciu GD, Ababei DC, Solcan C, Uritu CM, Craciun VC, Pricope CV, Szilagyi A, Tamba BI
Pharmaceuticals (Basel, Switzerland) (2024) 174: . 173 002 IHC; tested species: mouse
A cost-effective and efficient ex vivo, ex situ human whole brain perfusion protocol for immunohistochemistry.
Hade AC, Philips MA, Promet L, Jagomäe T, Hanumantharaju A, Salumäe L, Reimann E, Plaas M, Vasar E, Väli M
Journal of neuroscience methods (2024) 404: 110059. 173 002 IHC, IHC-P; tested species: human
Changes in stiffness of the optic nerve and involvement of neurofilament light chains in the course of experimental autoimmune encephalomyelitis, an animal model of multiple sclerosis.
Pyka-Fościak G, Fościak M, Pabijan J, Lis GJ, Litwin JA, Lekka M
Biochimica et biophysica acta. Molecular basis of disease (2023) 18697: 166796. 173 002 IHC; tested species: mouse
Drebrin controls scar formation and astrocyte reactivity upon traumatic brain injury by regulating membrane trafficking.
Schiweck J, Murk K, Ledderose J, Münster-Wandowski A, Ornaghi M, Vida I, Eickholt BJ
Nature communications (2021) 121: 1490. 173 002 ICC, IHC; tested species: mouse
An activity-dependent determinant of synapse elimination in the mammalian brain.
Yasuda M, Nagappan-Chettiar S, Johnson-Venkatesh EM, Umemori H
Neuron (2021) 1098: 1333-1349.e6. 173 002 IHC; tested species: mouse
Long-term caffeine treatment of Alzheimer mouse models ameliorates behavioural deficits and neuron loss and promotes cellular and molecular markers of neurogenesis.
Stazi M, Lehmann S, Sakib MS, Pena-Centeno T, Büschgens L, Fischer A, Weggen S, Wirths O
Cellular and molecular life sciences : CMLS (2021) 791: 55. 173 002 IHC; tested species: mouse
Loss of all three APP family members during development impairs synaptic function and plasticity, disrupts learning, and causes an autism-like phenotype.
Steubler V, Erdinger S, Back MK, Ludewig S, Fässler D, Richter M, Han K, Slomianka L, Amrein I, von Engelhardt J, Wolfer DP, et al.
The EMBO journal (2021) : e107471. 173 002 IHC; tested species: mouse
Lack of APP and APLP2 in GABAergic Forebrain Neurons Impairs Synaptic Plasticity and Cognition.
Mehr A, Hick M, Ludewig S, Müller M, Herrmann U, von Engelhardt J, Wolfer DP, Korte M, Müller UC
Cerebral cortex (New York, N.Y. : 1991) (2020) 307: 4044-4063. 173 002 IHC; tested species: mouse
Glial activation is moderated by sex in response to amyloidosis but not to tau pathology in mouse models of neurodegenerative diseases.
Biechele G, Franzmeier N, Blume T, Ewers M, Luque JM, Eckenweber F, Sacher C, Beyer L, Ruch-Rubinstein F, Lindner S, Gildehaus FJ, et al.
Journal of neuroinflammation (2020) 171: 374. 173 002 IHC; tested species: mouse
A Transgenic Mouse Model to Selectively Identify α3 Na,K-ATPase Expressing Cells in the Nervous System.
Dobretsov M, Hayar A, Kockara NT, Kozhemyakin M, Light KE, Patyal P, Pierce DR, Wight PA
Neuroscience (2019) 398: 274-294. 173 002 IHC; tested species: mouse
Distinct in vivo roles of secreted APP ectodomain variants APPsα and APPsβ in regulation of spine density, synaptic plasticity, and cognition.
Richter MC, Ludewig S, Winschel A, Abel T, Bold C, Salzburger LR, Klein S, Han K, Weyer SW, Fritz AK, Laube B, et al.
The EMBO journal (2018) : . 173 002 WB, IHC; tested species: mouse
Wfs1- deficient rats develop primary symptoms of Wolfram syndrome: insulin-dependent diabetes, optic nerve atrophy and medullary degeneration.
Plaas M, Seppa K, Reimets R, Jagomäe T, Toots M, Koppel T, Vallisoo T, Nigul M, Heinla I, Meier R, Kaasik A, et al.
Scientific reports (2017) 71: 10220. 173 002 IHC; tested species: rat
An electrically resistive sheet of glial cells for amplifying signals of neuronal extracellular recordings.
Matsumura R, Yamamoto H, Niwano M, Hirano-Iwata A
Applied physics letters (2016) 1082: 023701. 173 002 IHC
Large-scale analysis of viral nucleic acid spectrum in temporal lobe epilepsy biopsies.
Esposito L, Drexler JF, Braganza O, Doberentz E, Grote A, Widman G, Drosten C, Eis-Hübinger AM, Schoch S, Elger CE, Becker AJ, et al.
Epilepsia (2015) 562: 234-43. 173 002 IHC; tested species: human
βCTF-correlated burst of hippocampal TNFα occurs at a very early, pre-plaque stage in the TgCRND8 mouse model of Alzheimer's disease.
Cavanagh C, Colby-Milley J, Bouvier D, Farso M, Chabot JG, Quirion R, Krantic S
Journal of Alzheimer's disease : JAD (2013) 362: 233-8. 173 002 IHC
No improvement after chronic ibuprofen treatment in the 5XFAD mouse model of Alzheimer's disease.
Hillmann A, Hahn S, Schilling S, Hoffmann T, Demuth HU, Bulic B, Schneider-Axmann T, Bayer TA, Weggen S, Wirths O
Neurobiology of aging (2012) 334: 833.e39-50. 173 002 IHC
Age-dependent kinetics of dentate gyrus neurogenesis in the absence of cyclin D2.
Ansorg A, Witte OW, Urbach A
BMC neuroscience (2012) 13: 46. 173 002 IHC
Chronic psychosocial stress and citalopram modulate the expression of the glial proteins GFAP and NDRG2 in the hippocampus.
Araya-Callís C, Hiemke C, Abumaria N, Flugge G
Psychopharmacology (2012) 2241: 209-22. 173 002 IHC
Activity-dependent regulation of MHC class I expression in the developing primary visual cortex of the common marmoset monkey.
Ribic A, Flügge G, Schlumbohm C, Mätz-Rensing K, Walter L, Fuchs E
Behavioral and brain functions : BBF (2011) 7: 1. 173 002 IHC
Neuronal MHC class I molecules are involved in excitatory synaptic transmission at the hippocampal mossy fiber synapses of marmoset monkeys.
Ribic A, Zhang M, Schlumbohm C, Mätz-Rensing K, Uchanska-Ziegler B, Flügge G, Zhang W, Walter L, Fuchs E
Cellular and molecular neurobiology (2010) 306: 827-39. 173 002 IHC
Coping with AIDS: issues of accountability in the dental office.
Cutler LS
Journal - Connecticut State Dental Association (1988) 621: 20-2. 173 002 IHC; tested species: mouse
Silicon Dioxide Nanoparticles Alter Social Behavior, Color Preference, Oxidative Stress Markers, and Histological Structure of Brain Regions in Zebrafish (Danio rerio).
Rarinca V, Gurzu IL, Nicoara MN, Ciobica A, Todirascu-Ciornea E, Gurzu B, Solcan C, Ureche D
Life (Basel, Switzerland) (2025) 1511: . 173 002 IHC-P; tested species: zebrafish
A cost-effective and efficient ex vivo, ex situ human whole brain perfusion protocol for immunohistochemistry.
Hade AC, Philips MA, Promet L, Jagomäe T, Hanumantharaju A, Salumäe L, Reimann E, Plaas M, Vasar E, Väli M
Journal of neuroscience methods (2024) 404: 110059. 173 002 IHC, IHC-P; tested species: human
Neprilysin deficiency alters the neuropathological and behavioral phenotype in the 5XFAD mouse model of Alzheimer's disease.
Hüttenrauch M, Baches S, Gerth J, Bayer TA, Weggen S, Wirths O
Journal of Alzheimer's disease : JAD (2015) 444: 1291-302. 173 002 IHC-P; tested species: mouse
Accelerated tau pathology with synaptic and neuronal loss in a novel triple transgenic mouse model of Alzheimer's disease.
Saul A, Sprenger F, Bayer TA, Wirths O
Neurobiology of aging (2013) 3411: 2564-73. 173 002 IHC-P; tested species: mouse
Identification of low molecular weight pyroglutamate A{beta} oligomers in Alzheimer disease: a novel tool for therapy and diagnosis.
Wirths O, Erck C, Martens H, Harmeier A, Geumann C, Jawhar S, Kumar S, Multhaup G, Walter J, Ingelsson M, Degerman-Gunnarsson M, et al.
The Journal of biological chemistry (2010) 28553: 41517-24. 173 002 IHC-P; tested species: mouse
Accumulation of intraneuronal Abeta correlates with ApoE4 genotype.
Christensen DZ, Schneider-Axmann T, Lucassen PJ, Bayer TA, Wirths O
Acta neuropathologica (2010) 1195: 555-66. 173 002 IHC-P; tested species: human
The Anti-amyloid Compound DO1 Decreases Plaque Pathology and Neuroinflammation-Related Expression Changes in 5xFAD Transgenic Mice.
Boeddrich A, Babila JT, Wiglenda T, Diez L, Jacob M, Nietfeld W, Huska MR, Haenig C, Groenke N, Buntru A, Blanc E, et al.
Cell chemical biology (2018) : . 173 002 ELISA; tested species: mouse
Cat. No.: 173 002
Amount: 200 µl
Price: $365.00
Sonic hedgehog expression in the postnatal brain.
Rivell A, Petralia RS, Wang YX, Clawson E, Moehl K, Mattson MP, Yao PJ
Biology open (2019) : . 173 002 WB; tested species: rat
Distinct in vivo roles of secreted APP ectodomain variants APPsα and APPsβ in regulation of spine density, synaptic plasticity, and cognition.
Richter MC, Ludewig S, Winschel A, Abel T, Bold C, Salzburger LR, Klein S, Han K, Weyer SW, Fritz AK, Laube B, et al.
The EMBO journal (2018) : . 173 002 WB, IHC; tested species: mouse
Synaptotagmin-12 phosphorylation by cAMP-dependent protein kinase is essential for hippocampal mossy fiber LTP.
Kaeser-Woo YJ, Younts TJ, Yang X, Zhou P, Wu D, Castillo PE, Südhof TC
The Journal of neuroscience : the official journal of the Society for Neuroscience (2013) 3323: 9769-80. 173 002 WB
Retinal ganglion cell survival and functional maturation in transiently vascularized human retinal organoids.
Sharma K, Habibey R, Ribeiro MM, Cui B, Siwicki RA, Striebel J, Pawlick JS, Zorn J, Utz L, Renner M, Picelli S, et al.
Cell stem cell (2026) : . 173 002 ICC; tested species: human
Establishment of autaptic culture with human-induced pluripotent stem cell-derived astrocytes.
Uchino K, Tanaka Y, Kawaguchi S, Kubota K, Watanabe T, Katsurabayashi S, Hirose S, Iwasaki K
iScience (2022) 258: 104762. 173 002 ICC; tested species: human
Pharmacological perturbation of CXCL1 signaling alleviates neuropathogenesis in a model of HEVA71 infection.
Gunaseelan S, Ariffin MZ, Khanna S, Ooi MH, Perera D, Chu JJH, Chua JJE
Nature communications (2022) 131: 890. 173 002 ICC; tested species: rat
Extracellular matrix remodeling through endocytosis and resurfacing of Tenascin-R.
Dankovich TM, Kaushik R, Olsthoorn LHM, Petersen GC, Giro PE, Kluever V, Agüi-Gonzalez P, Grewe K, Bao G, Beuermann S, Hadi HA, et al.
Nature communications (2021) 121: 7129. 173 002 ICC; tested species: rat
Drebrin controls scar formation and astrocyte reactivity upon traumatic brain injury by regulating membrane trafficking.
Schiweck J, Murk K, Ledderose J, Münster-Wandowski A, Ornaghi M, Vida I, Eickholt BJ
Nature communications (2021) 121: 1490. 173 002 ICC, IHC; tested species: mouse
Dopamine Receptor Activation Modulates the Integrity of the Perisynaptic Extracellular Matrix at Excitatory Synapses.
Mitlöhner J, Kaushik R, Niekisch H, Blondiaux A, Gee CE, Happel MFK, Gundelfinger E, Dityatev A, Frischknecht R, Seidenbecher C
Cells (2020) 92: . 173 002 ICC; tested species: rat
Auxiliary α2δ1 and α2δ3 Subunits of Calcium Channels Drive Excitatory and Inhibitory Neuronal Network Development.
Bikbaev A, Ciuraszkiewicz-Wojciech A, Heck J, Klatt O, Freund R, Mitlöhner J, Enrile Lacalle S, Sun M, Repetto D, Frischknecht R, Ablinger C, et al.
The Journal of neuroscience : the official journal of the Society for Neuroscience (2020) 4025: 4824-4841. 173 002 ICC; tested species: rat
Biallelic Mutations in TSC2 Lead to Abnormalities Associated with Cortical Tubers in Human iPSC-Derived Neurons.
Winden KD, Sundberg M, Yang C, Wafa SMA, Dwyer S, Chen PF, Buttermore ED, Sahin M
The Journal of neuroscience : the official journal of the Society for Neuroscience (2019) 3947: 9294-9305. 173 002 ICC; tested species: human
Glia-to-neuron transfer of miRNAs via extracellular vesicles: a new mechanism underlying inflammation-induced synaptic alterations.
Prada I, Gabrielli M, Turola E, Iorio A, D'Arrigo G, Parolisi R, De Luca M, Pacifici M, Bastoni M, Lombardi M, Legname G, et al.
Acta neuropathologica (2018) 1354: 529-550. 173 002 ICC; tested species: mouse
Long-term culture of astrocytes attenuates the readily releasable pool of synaptic vesicles.
Kawano H, Katsurabayashi S, Kakazu Y, Yamashita Y, Kubo N, Kubo M, Okuda H, Takasaki K, Kubota K, Mishima K, Fujiwara M, et al.
PloS one (2012) 710: e48034. 173 002 ICC
Duloxetine ameliorates cerebral ischemic injury by inhibiting autophagy.
Viotti A, Molinaro C, Perego J, Fossaghi A, Parravicini C, Laurenzano E, Borreca A, Piccoli M, Anastasia L, Manenti S, Finardi A, et al.
Autophagy (2026) : . 173 002 IHC; tested species: mouse
Exploring Cannabinoids with Enhanced Binding Affinity for Targeting the Expanded Endocannabinoid System: A Promising Therapeutic Strategy for Alzheimer's Disease Treatment.
Stanciu GD, Ababei DC, Solcan C, Uritu CM, Craciun VC, Pricope CV, Szilagyi A, Tamba BI
Pharmaceuticals (Basel, Switzerland) (2024) 174: . 173 002 IHC; tested species: mouse
A cost-effective and efficient ex vivo, ex situ human whole brain perfusion protocol for immunohistochemistry.
Hade AC, Philips MA, Promet L, Jagomäe T, Hanumantharaju A, Salumäe L, Reimann E, Plaas M, Vasar E, Väli M
Journal of neuroscience methods (2024) 404: 110059. 173 002 IHC, IHC-P; tested species: human
Changes in stiffness of the optic nerve and involvement of neurofilament light chains in the course of experimental autoimmune encephalomyelitis, an animal model of multiple sclerosis.
Pyka-Fościak G, Fościak M, Pabijan J, Lis GJ, Litwin JA, Lekka M
Biochimica et biophysica acta. Molecular basis of disease (2023) 18697: 166796. 173 002 IHC; tested species: mouse
Drebrin controls scar formation and astrocyte reactivity upon traumatic brain injury by regulating membrane trafficking.
Schiweck J, Murk K, Ledderose J, Münster-Wandowski A, Ornaghi M, Vida I, Eickholt BJ
Nature communications (2021) 121: 1490. 173 002 ICC, IHC; tested species: mouse
An activity-dependent determinant of synapse elimination in the mammalian brain.
Yasuda M, Nagappan-Chettiar S, Johnson-Venkatesh EM, Umemori H
Neuron (2021) 1098: 1333-1349.e6. 173 002 IHC; tested species: mouse
Long-term caffeine treatment of Alzheimer mouse models ameliorates behavioural deficits and neuron loss and promotes cellular and molecular markers of neurogenesis.
Stazi M, Lehmann S, Sakib MS, Pena-Centeno T, Büschgens L, Fischer A, Weggen S, Wirths O
Cellular and molecular life sciences : CMLS (2021) 791: 55. 173 002 IHC; tested species: mouse
Loss of all three APP family members during development impairs synaptic function and plasticity, disrupts learning, and causes an autism-like phenotype.
Steubler V, Erdinger S, Back MK, Ludewig S, Fässler D, Richter M, Han K, Slomianka L, Amrein I, von Engelhardt J, Wolfer DP, et al.
The EMBO journal (2021) : e107471. 173 002 IHC; tested species: mouse
Lack of APP and APLP2 in GABAergic Forebrain Neurons Impairs Synaptic Plasticity and Cognition.
Mehr A, Hick M, Ludewig S, Müller M, Herrmann U, von Engelhardt J, Wolfer DP, Korte M, Müller UC
Cerebral cortex (New York, N.Y. : 1991) (2020) 307: 4044-4063. 173 002 IHC; tested species: mouse
Glial activation is moderated by sex in response to amyloidosis but not to tau pathology in mouse models of neurodegenerative diseases.
Biechele G, Franzmeier N, Blume T, Ewers M, Luque JM, Eckenweber F, Sacher C, Beyer L, Ruch-Rubinstein F, Lindner S, Gildehaus FJ, et al.
Journal of neuroinflammation (2020) 171: 374. 173 002 IHC; tested species: mouse
A Transgenic Mouse Model to Selectively Identify α3 Na,K-ATPase Expressing Cells in the Nervous System.
Dobretsov M, Hayar A, Kockara NT, Kozhemyakin M, Light KE, Patyal P, Pierce DR, Wight PA
Neuroscience (2019) 398: 274-294. 173 002 IHC; tested species: mouse
Distinct in vivo roles of secreted APP ectodomain variants APPsα and APPsβ in regulation of spine density, synaptic plasticity, and cognition.
Richter MC, Ludewig S, Winschel A, Abel T, Bold C, Salzburger LR, Klein S, Han K, Weyer SW, Fritz AK, Laube B, et al.
The EMBO journal (2018) : . 173 002 WB, IHC; tested species: mouse
Wfs1- deficient rats develop primary symptoms of Wolfram syndrome: insulin-dependent diabetes, optic nerve atrophy and medullary degeneration.
Plaas M, Seppa K, Reimets R, Jagomäe T, Toots M, Koppel T, Vallisoo T, Nigul M, Heinla I, Meier R, Kaasik A, et al.
Scientific reports (2017) 71: 10220. 173 002 IHC; tested species: rat
An electrically resistive sheet of glial cells for amplifying signals of neuronal extracellular recordings.
Matsumura R, Yamamoto H, Niwano M, Hirano-Iwata A
Applied physics letters (2016) 1082: 023701. 173 002 IHC
Large-scale analysis of viral nucleic acid spectrum in temporal lobe epilepsy biopsies.
Esposito L, Drexler JF, Braganza O, Doberentz E, Grote A, Widman G, Drosten C, Eis-Hübinger AM, Schoch S, Elger CE, Becker AJ, et al.
Epilepsia (2015) 562: 234-43. 173 002 IHC; tested species: human
βCTF-correlated burst of hippocampal TNFα occurs at a very early, pre-plaque stage in the TgCRND8 mouse model of Alzheimer's disease.
Cavanagh C, Colby-Milley J, Bouvier D, Farso M, Chabot JG, Quirion R, Krantic S
Journal of Alzheimer's disease : JAD (2013) 362: 233-8. 173 002 IHC
No improvement after chronic ibuprofen treatment in the 5XFAD mouse model of Alzheimer's disease.
Hillmann A, Hahn S, Schilling S, Hoffmann T, Demuth HU, Bulic B, Schneider-Axmann T, Bayer TA, Weggen S, Wirths O
Neurobiology of aging (2012) 334: 833.e39-50. 173 002 IHC
Age-dependent kinetics of dentate gyrus neurogenesis in the absence of cyclin D2.
Ansorg A, Witte OW, Urbach A
BMC neuroscience (2012) 13: 46. 173 002 IHC
Chronic psychosocial stress and citalopram modulate the expression of the glial proteins GFAP and NDRG2 in the hippocampus.
Araya-Callís C, Hiemke C, Abumaria N, Flugge G
Psychopharmacology (2012) 2241: 209-22. 173 002 IHC
Activity-dependent regulation of MHC class I expression in the developing primary visual cortex of the common marmoset monkey.
Ribic A, Flügge G, Schlumbohm C, Mätz-Rensing K, Walter L, Fuchs E
Behavioral and brain functions : BBF (2011) 7: 1. 173 002 IHC
Neuronal MHC class I molecules are involved in excitatory synaptic transmission at the hippocampal mossy fiber synapses of marmoset monkeys.
Ribic A, Zhang M, Schlumbohm C, Mätz-Rensing K, Uchanska-Ziegler B, Flügge G, Zhang W, Walter L, Fuchs E
Cellular and molecular neurobiology (2010) 306: 827-39. 173 002 IHC
Coping with AIDS: issues of accountability in the dental office.
Cutler LS
Journal - Connecticut State Dental Association (1988) 621: 20-2. 173 002 IHC; tested species: mouse
Silicon Dioxide Nanoparticles Alter Social Behavior, Color Preference, Oxidative Stress Markers, and Histological Structure of Brain Regions in Zebrafish (Danio rerio).
Rarinca V, Gurzu IL, Nicoara MN, Ciobica A, Todirascu-Ciornea E, Gurzu B, Solcan C, Ureche D
Life (Basel, Switzerland) (2025) 1511: . 173 002 IHC-P; tested species: zebrafish
A cost-effective and efficient ex vivo, ex situ human whole brain perfusion protocol for immunohistochemistry.
Hade AC, Philips MA, Promet L, Jagomäe T, Hanumantharaju A, Salumäe L, Reimann E, Plaas M, Vasar E, Väli M
Journal of neuroscience methods (2024) 404: 110059. 173 002 IHC, IHC-P; tested species: human
Neprilysin deficiency alters the neuropathological and behavioral phenotype in the 5XFAD mouse model of Alzheimer's disease.
Hüttenrauch M, Baches S, Gerth J, Bayer TA, Weggen S, Wirths O
Journal of Alzheimer's disease : JAD (2015) 444: 1291-302. 173 002 IHC-P; tested species: mouse
Accelerated tau pathology with synaptic and neuronal loss in a novel triple transgenic mouse model of Alzheimer's disease.
Saul A, Sprenger F, Bayer TA, Wirths O
Neurobiology of aging (2013) 3411: 2564-73. 173 002 IHC-P; tested species: mouse
Identification of low molecular weight pyroglutamate A{beta} oligomers in Alzheimer disease: a novel tool for therapy and diagnosis.
Wirths O, Erck C, Martens H, Harmeier A, Geumann C, Jawhar S, Kumar S, Multhaup G, Walter J, Ingelsson M, Degerman-Gunnarsson M, et al.
The Journal of biological chemistry (2010) 28553: 41517-24. 173 002 IHC-P; tested species: mouse
Accumulation of intraneuronal Abeta correlates with ApoE4 genotype.
Christensen DZ, Schneider-Axmann T, Lucassen PJ, Bayer TA, Wirths O
Acta neuropathologica (2010) 1195: 555-66. 173 002 IHC-P; tested species: human
The Anti-amyloid Compound DO1 Decreases Plaque Pathology and Neuroinflammation-Related Expression Changes in 5xFAD Transgenic Mice.
Boeddrich A, Babila JT, Wiglenda T, Diez L, Jacob M, Nietfeld W, Huska MR, Haenig C, Groenke N, Buntru A, Blanc E, et al.
Cell chemical biology (2018) : . 173 002 ELISA; tested species: mouse
Background

Glial fibrillary acidic protein GFAP is a glial-specific member of the intermediate filament protein family. This group comprises cell type-specific filamentous proteins with similar structure and function as scaffold for cytoskeleton assembly and maintenance.
Frequently, neural stem cells also express GFAP. In addition many types of brain tumors, probably derived from astrocytic cells, heavily express GFAP. This protein is also found in the lens epithelium, Kupffer cells of the liver, in some cells in salivary tumors and others.
Point-mutations in the GFAP gene have been correlated to Alexander disease, a fatal leukoencephalopathy that leads to the dysmyelination or demyelination of the central nervous system.

 

For more information on protein expression pattern, please refer to the overview image in our SYSY Antibodies ATLAS.

Certificates

ISO 9001 2015 Quality Management System and Green Lab Platinum certification level for sustaining laboratory processes.

Newsletter

Sign up for our newsletter and get the latest updates and news.
 

Please provide a valid E-Mail-Address
Please provide a valid First name
Please provide a valid Last name