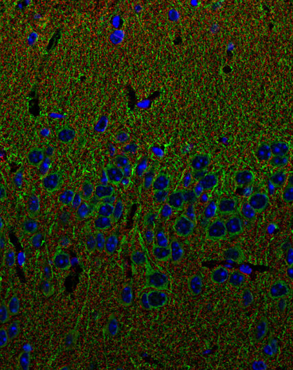
EAAT2 antibody extracellular domain - 250 204 K.O.

EAATs are transmembrane proteins involved in the removal of extracellular glutamate
Guinea pig polyclonal antiserum
Cat. No.: 250 204
Amount: 100 µl
Price: $370.00
Cat. No. 250 204 100 µl antiserum, lyophilized. For reconstitution add 100 µl H2O, then aliquot and store at -20°C until use.
Antibodies should be stored at +4°C when still lyophilized. Do not freeze!
Applications
 
WB: 1 : 1000 (AP staining) gallery  
IP: not tested yet
ICC: 1 : 500 gallery  
IHC: 1 : 500 up to 1 : 1000 gallery  
IHC-P: 1 : 500 gallery  

Western blot (WB); separation of proteins by PAGE and subsequent transfer to a membrane. Detection of target molecules is carried out with antibodies. Some antibodies require special sample preparation steps. For details, please refer to the “Remarks” section.

Immunoprecipitation (IP); Immunoisolation or pulldown of a target molecule using an antibody. For details and product specific hints, please refer to the ”Remarks” section.

Immunocytochemistry (ICC) on 4% PFA fixed cells. Immunoreactivity is usually revealed by fluorescence. Some antibodies require special fixation methods. For details, please refer to the “Remarks” section.

Immunohistochemistry (IHC) on 4% PFA perfusion fixed tissue with 24h PFA post fixation. Immunoreactivity is usually revealed by fluorescence or a chromogenic substrate. Some antibodies require special fixation methods or antigen retrieval steps. For details, please refer to the ”Remarks” section.

Immunohistochemistry (IHC-P) of formalin fixed, paraffin embedded (FFPE) tissue (some antibodies require special antigen retrieval steps, please refer to the ”Remarks” section). Immunoreactivity is usually revealed by fluorescence or a chromogenic substrate.

Immunogen Synthetic peptide corresponding to AA 146 to 161 from mouse EAAT2 (UniProt Id: P43006)
Reactivity Reacts with: rat (P31596), mouse (P43006).
Other species not tested yet.
Predicted to cross-react with human (P43004) due to high sequence homology.
Specificity K.O. validated
Matching control protein/peptide 250-2P
Data sheet Datasheet 250_204
Cat. No.: 250 204
Amount: 100 µl
Price: $370.00
Background

Glutamate is the major excitatory neurotransmitter in the mammalian central nervous system. After the release of glutamate from synaptic vesicles into the synaptic cleft during neurotransmission, excitatory amino acid transporters (EAATs) remove extracellular glutamate to avoid excitotoxic levels (1).
Five EAATs with differential expression patterns have been described so far: EAAT1, also referred to as GLAST and SLC1A3, has neuroprotective potential following ischemia and occurs in reactive astrocytes and activated microglia. EAAT2 (GLT-1, SLC1A2) is the most abundant isoform and is primarily expressed in astrocytes. Both variants show high levels in brain and retina. EAAT3 / SLC1A1, EAAT4 / SLC1A6 and EAAT5 / SLC1A7 are expressed in neurons (2). EAAT4 shows weak expression in the forebrain and high levels in the cerebellum, where it mainly locates to Purkinje cells (3). EAAT5 primarily occurs in the retina, where it locates very close to glutamate release sites. In K.O. mice flicker resolution is considerably compromised (4). Recent findings suggest that EAAT5 is an abundant isoform, expressed also in non-neuronal peripheral tissues (5).

Certificates

ISO 9001 2015 Quality Management System and Green Lab Platinum certification level for sustaining laboratory processes.

Newsletter

Sign up for our newsletter and get the latest updates and news.
 

Please provide a valid E-Mail-Address
Please provide a valid First name
Please provide a valid Last name