Ig kappa light chain antibody - HS-346 011

Ig kappa light chain is a useful marker for the classification of B-cell lymphoma
Mouse monoclonal purified IgG
Cat. No.: HS-346 011
Amount: 100 µg
Price: $420.00
Cat. No. HS-346 011 100 µg purified IgG, lyophilized. Albumin and azide were added for stabilization. For reconstitution add 100 µl H2O to get a 1mg/ml solution in PBS. Then aliquot and store at -20°C to -80°C until use.
Antibodies should be stored at +4°C when still lyophilized. Do not freeze!
Applications
 
WBgallery  
IHC-P: 1 : 5000 up to 1 : 10000 gallery  

Western blot (WB); separation of proteins by PAGE and subsequent transfer to a membrane. Detection of target molecules is carried out with antibodies. Some antibodies require special sample preparation steps. For details, please refer to the “Remarks” section.

Immunohistochemistry (IHC-P) of formalin fixed, paraffin embedded (FFPE) tissue (some antibodies require special antigen retrieval steps, please refer to the ”Remarks” section). Immunoreactivity is usually revealed by fluorescence or a chromogenic substrate.

Clone 190F11
Subtype IgG2a (κ light chain)
Immunogen Recombinant protein corresponding to AA 130 to 235 from human IgG κ LC
Reactivity Reacts with: human.
Other species not tested yet.
Specificity Detects the κ light chain of human immunoglobulins. No cross-reactivity to λ light chains.
Data sheet Datasheet hs-346_011
Cat. No.: HS-346 011
Amount: 100 µg
Price: $420.00

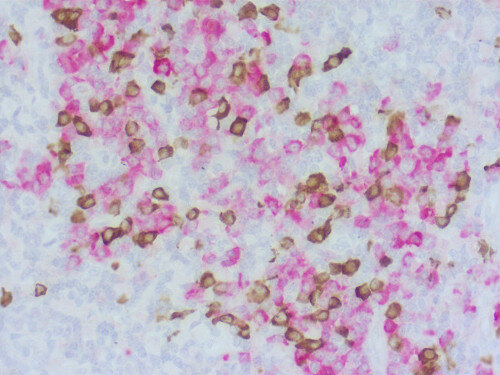
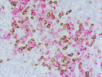
Human FFPE tonsil section stained with anti-kappa (red) and anti-lambda light chain (brown) antibodies

Background
Immunoglobulin (Ig) molecules consist of heavy chains and light chains of either lambda (λ) or kappa (κ) type, with κ light chains being the more common form. Immunoglobulines of the IgG, IgD and IgE type are composed of two heavy and two light chains. IgA occurs as dimeric and IgM as pentameric Ig complexes.
Protocols for HS-346 011

Certificates

ISO 9001 2015 Quality Management System and Green Lab Platinum certification level for sustaining laboratory processes.

Newsletter

Sign up for our newsletter and get the latest updates and news.
 

Please provide a valid E-Mail-Address
Please provide a valid First name
Please provide a valid Last name