- will be discontinued soon
Polyclonal antibodies are a finite resource. We have now started to sell the last lots of our well received Guinea pig polyclonal CD4 antibody HS-360 004. It will be replaced by our new Guinea pig monoclonal recombinant IgG CD4 antibody HS-360 308.

CD4 antibody mouse specific - HS-360 004

CD4 is a T-cell surface glycoprotein
Guinea pig polyclonal antiserum
Cat. No.: HS-360 004
Amount: 100 µl
Price: $355.00
Cat. No. HS-360 004 100 µl antiserum, lyophilized. For reconstitution add 100 µl H2O, then aliquot and store at -20°C until use.
Antibodies should be stored at +4°C when still lyophilized. Do not freeze!
Applications
 
WB: 1 : 1000 (AP staining) gallery  
IP: not tested yet
ICC: not tested yet
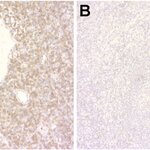
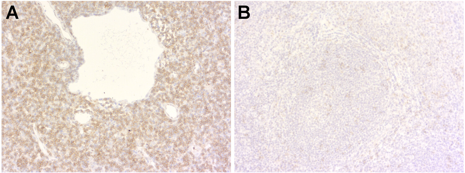
IHC: 1 : 500 gallery  
IHC-P: 1 : 500 gallery  

Western blot (WB); separation of proteins by PAGE and subsequent transfer to a membrane. Detection of target molecules is carried out with antibodies. Some antibodies require special sample preparation steps. For details, please refer to the “Remarks” section.

Immunoprecipitation (IP); Immunoisolation or pulldown of a target molecule using an antibody. For details and product specific hints, please refer to the ”Remarks” section.

Immunocytochemistry (ICC) on 4% PFA fixed cells. Immunoreactivity is usually revealed by fluorescence. Some antibodies require special fixation methods. For details, please refer to the “Remarks” section.

Immunohistochemistry (IHC) on 4% PFA perfusion fixed tissue with 24h PFA post fixation. Immunoreactivity is usually revealed by fluorescence or a chromogenic substrate. Some antibodies require special fixation methods or antigen retrieval steps. For details, please refer to the ”Remarks” section.

Immunohistochemistry (IHC-P) of formalin fixed, paraffin embedded (FFPE) tissue (some antibodies require special antigen retrieval steps, please refer to the ”Remarks” section). Immunoreactivity is usually revealed by fluorescence or a chromogenic substrate.

Immunogen Recombinant protein corresponding to AA 27 to 394 from mouse CD4 (UniProt Id: P06332)
Reactivity Reacts with: mouse (P06332).
No signal: human (P01730), rat (P05540).
Other species not tested yet.
Data sheet Datasheet hs-360_004

References for CD4 - HS-360 004

TRP-2 / gp100 DNA vaccine and PD-1 checkpoint blockade combination for the treatment of intracranial tumors.
Pearson JRD, Puig-Saenz C, Thomas JE, Hardowar LD, Ahmad M, Wainwright LC, McVicar AM, Brentville VA, Tinsley CJ, Pockley AG, Durrant LG, et al.
Cancer immunology, immunotherapy : CII (2024) 739: 178. HS-360 004 IHC; tested species: mouse
Anti-tumor effects of anti-programmed cell death-1 antibody treatment are attenuated in streptozotocin-induced diabetic mice.
Ito M, Iwama S, Sugiyama D, Yasuda Y, Okuji T, Kobayashi T, Zhou X, Yamagami A, Onoue T, Miyata T, Sugiyama M, et al.
Scientific reports (2023) 131: 5939. HS-360 004 IHC; tested species: mouse
In vivo interrogation of regulatory genomes reveals extensive quasi-insufficiency in cancer evolution.
Fischer A, Lersch R, de Andrade Krätzig N, Strong A, Friedrich MJ, Weber J, Engleitner T, Öllinger R, Yen HY, Kohlhofer U, Gonzalez-Menendez I, et al.
Cell genomics (2023) 33: 100276. HS-360 004 IHC-P; tested species: mouse
Cat. No.: HS-360 004
Amount: 100 µl
Price: $355.00

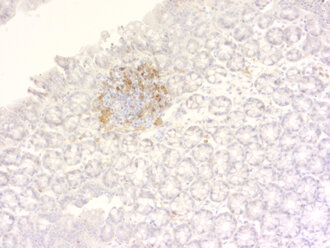
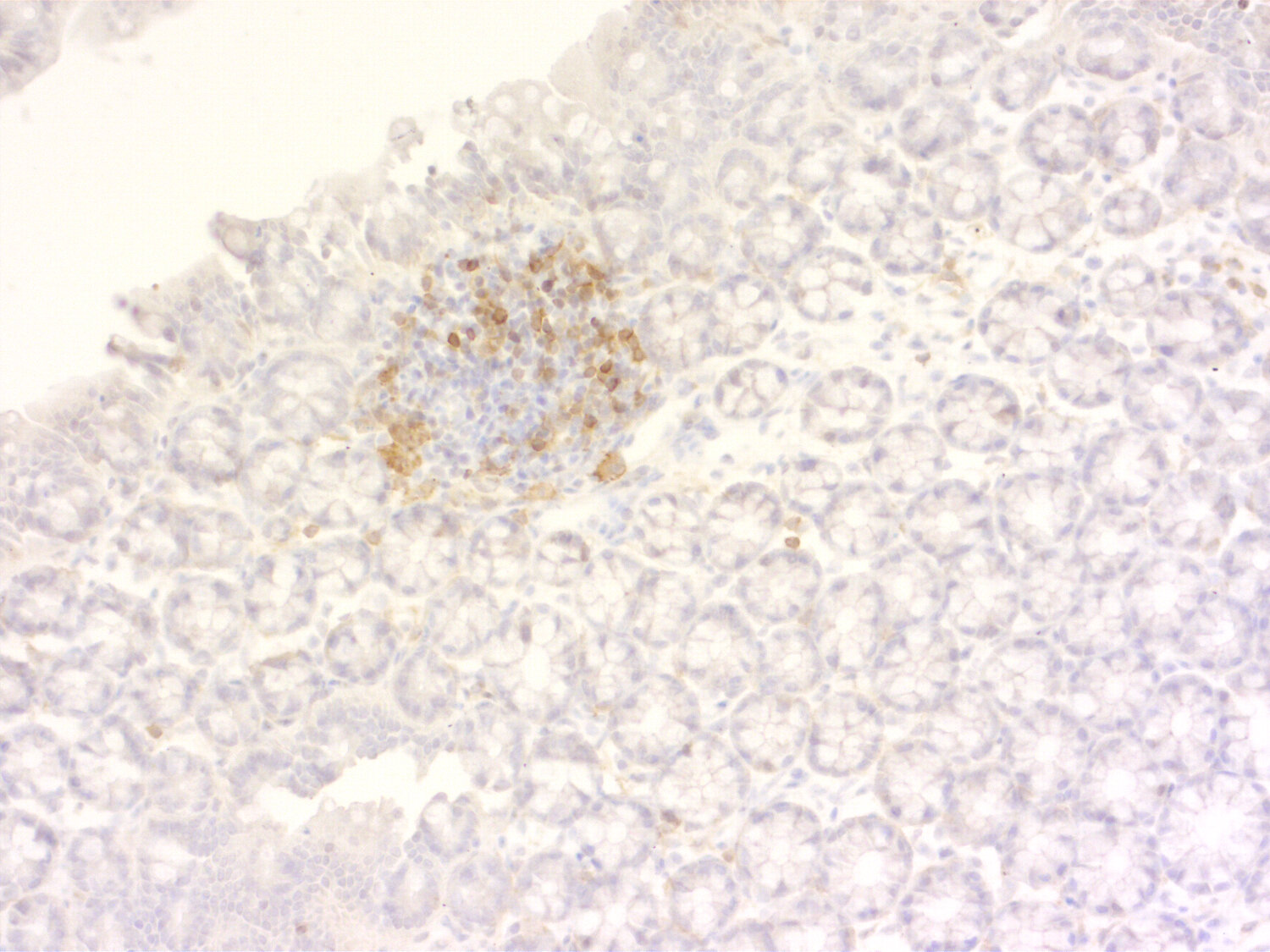
CD4 positive T-cells in FFPE mouse colon section

TRP-2 / gp100 DNA vaccine and PD-1 checkpoint blockade combination for the treatment of intracranial tumors.
Pearson JRD, Puig-Saenz C, Thomas JE, Hardowar LD, Ahmad M, Wainwright LC, McVicar AM, Brentville VA, Tinsley CJ, Pockley AG, Durrant LG, et al.
Cancer immunology, immunotherapy : CII (2024) 739: 178. HS-360 004 IHC; tested species: mouse
Anti-tumor effects of anti-programmed cell death-1 antibody treatment are attenuated in streptozotocin-induced diabetic mice.
Ito M, Iwama S, Sugiyama D, Yasuda Y, Okuji T, Kobayashi T, Zhou X, Yamagami A, Onoue T, Miyata T, Sugiyama M, et al.
Scientific reports (2023) 131: 5939. HS-360 004 IHC; tested species: mouse
In vivo interrogation of regulatory genomes reveals extensive quasi-insufficiency in cancer evolution.
Fischer A, Lersch R, de Andrade Krätzig N, Strong A, Friedrich MJ, Weber J, Engleitner T, Öllinger R, Yen HY, Kohlhofer U, Gonzalez-Menendez I, et al.
Cell genomics (2023) 33: 100276. HS-360 004 IHC-P; tested species: mouse
Background

CD4 (cluster of differentiation 4) is a glycoprotein found on the surface of immune cells such as T helper cells, monocytes, macrophages, and dendritic cells.
CD4 is a co-receptor that assists the T-cell receptor (TCR) in communicating with an antigen-presenting cell.

Protocols for HS-360 004

Certificates

ISO 9001 2015 Quality Management System and Green Lab Platinum certification level for sustaining laboratory processes.

Newsletter

Sign up for our newsletter and get the latest updates and news.
 

Please provide a valid E-Mail-Address
Please provide a valid First name
Please provide a valid Last name