CD4 antibody mouse specific - HS-360 108

CD4 is a T-cell surface glycoprotein
Rabbit monoclonal recombinant IgG
Cat. No.: HS-360 108
Amount: 100 µl
Price: $420.00
Cat. No. HS-360 108 100 µl purified recombinant IgG, lyophilized. Albumin and azide were added for stabilization. For reconstitution add 100 µl H2O. Then aliquot and store at -20°C to -80°C until use.
Antibodies should be stored at +4°C when still lyophilized. Do not freeze!
Applications
 
WB: 1 : 2000 (AP staining) gallery  
IP: not tested yet
IHC: 1 : 100 (see remarks) gallery  
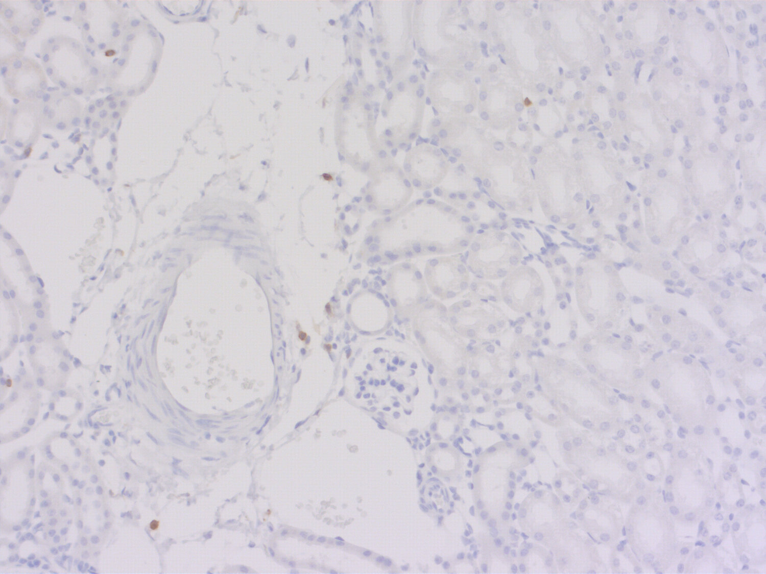
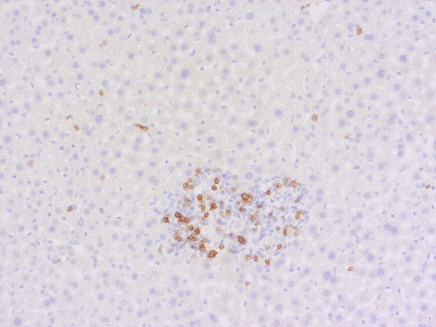
IHC-P: 1 : 900 gallery  
IHC-Fr: 1 : 100 (see remarks) gallery  

Western blot (WB); separation of proteins by PAGE and subsequent transfer to a membrane. Detection of target molecules is carried out with antibodies. Some antibodies require special sample preparation steps. For details, please refer to the “Remarks” section.

Immunoprecipitation (IP); Immunoisolation or pulldown of a target molecule using an antibody. For details and product specific hints, please refer to the ”Remarks” section.

Immunohistochemistry (IHC) on 4% PFA perfusion fixed tissue with 24h PFA post fixation. Immunoreactivity is usually revealed by fluorescence or a chromogenic substrate. Some antibodies require special fixation methods or antigen retrieval steps. For details, please refer to the ”Remarks” section.

Immunohistochemistry (IHC-P) of formalin fixed, paraffin embedded (FFPE) tissue (some antibodies require special antigen retrieval steps, please refer to the ”Remarks” section). Immunoreactivity is usually revealed by fluorescence or a chromogenic substrate.

Immunohistochemistry on fresh frozen (IHC-Fr) cryo-tissue-sections. In contrast to standard PFA perfusion fixed tissues, fresh frozen cryo-tissue-sections can be variably postfixed with alcohols, acetone or PFA. Alcohol or acetone fixation is e.g. of advantage for antigens masked by PFA crosslinking. For recommended postfixation, please refer to the ”Remarks” section. Immunoreactivity is usually revealed by fluorescence or a chromogenic substrate.

Clone Rb78H9D2
Subtype IgG1 (κ light chain)
Immunogen Recombinant protein corresponding to AA 27 to 394 from mouse CD4 (UniProt Id: P06332)
Reactivity Reacts with: mouse (P06332).
No signal: human (P01730), rat (P05540).
Other species not tested yet.
Remarks

This antibody is a chimeric antibody based on the monoclonal rat antibody clone 78H9D2. The constant regions of the heavy and light chains have been replaced by rabbit specific sequences. Therefore, the antibody can be used with standard anti-rabbit secondary reagents. The antibody has been expressed in mammalian cells.
IHC: Antigen retrieval with citrate buffer pH 6 is required.
IHC-Fr: The following fixatives are possible: methanol, 4% formaldehyde/PFA.

Data sheet Datasheet hs-360_108

References for CD4 - HS-360 108

Nanostructured lipid carriers based mRNA vaccine leads to a T cell-inflamed tumour microenvironment favourable for improving PD-1/PD-L1 blocking therapy and long-term immunity in a cold tumour model.
Fournier C, Mercey-Ressejac M, Derangère V, Al Kadi A, Rageot D, Charrat C, Leroy A, Vollaire J, Josserand V, Escudé M, Escaich S, et al.
EBioMedicine (2025) 112: 105543. HS-360 108 IHC-P; tested species: mouse
Protein Kinase Inhibitor-Mediated Immunoprophylactic and Immunotherapeutic Control of Colon Cancer.
Ghione S, Racoeur C, Mabrouk N, Shan J, Groetz E, Ballot E, Truntzer C, Chouchane L, Végran F, Paul C, Plenchette S, et al.
Frontiers in immunology (2022) 13: 875764. HS-360 108 IHC-P; tested species: mouse
Follicular helper-T cells restore CD8+-dependent antitumor immunity and anti-PD-L1/PD-1 efficacy.
Niogret J, Berger H, Rebe C, Mary R, Ballot E, Truntzer C, Thibaudin M, Derangère V, Hibos C, Hampe L, Rageot D, et al.
Journal for immunotherapy of cancer (2021) 96: . HS-360 108 IHC-P; tested species: mouse
Cat. No.: HS-360 108
Amount: 100 µl
Price: $420.00

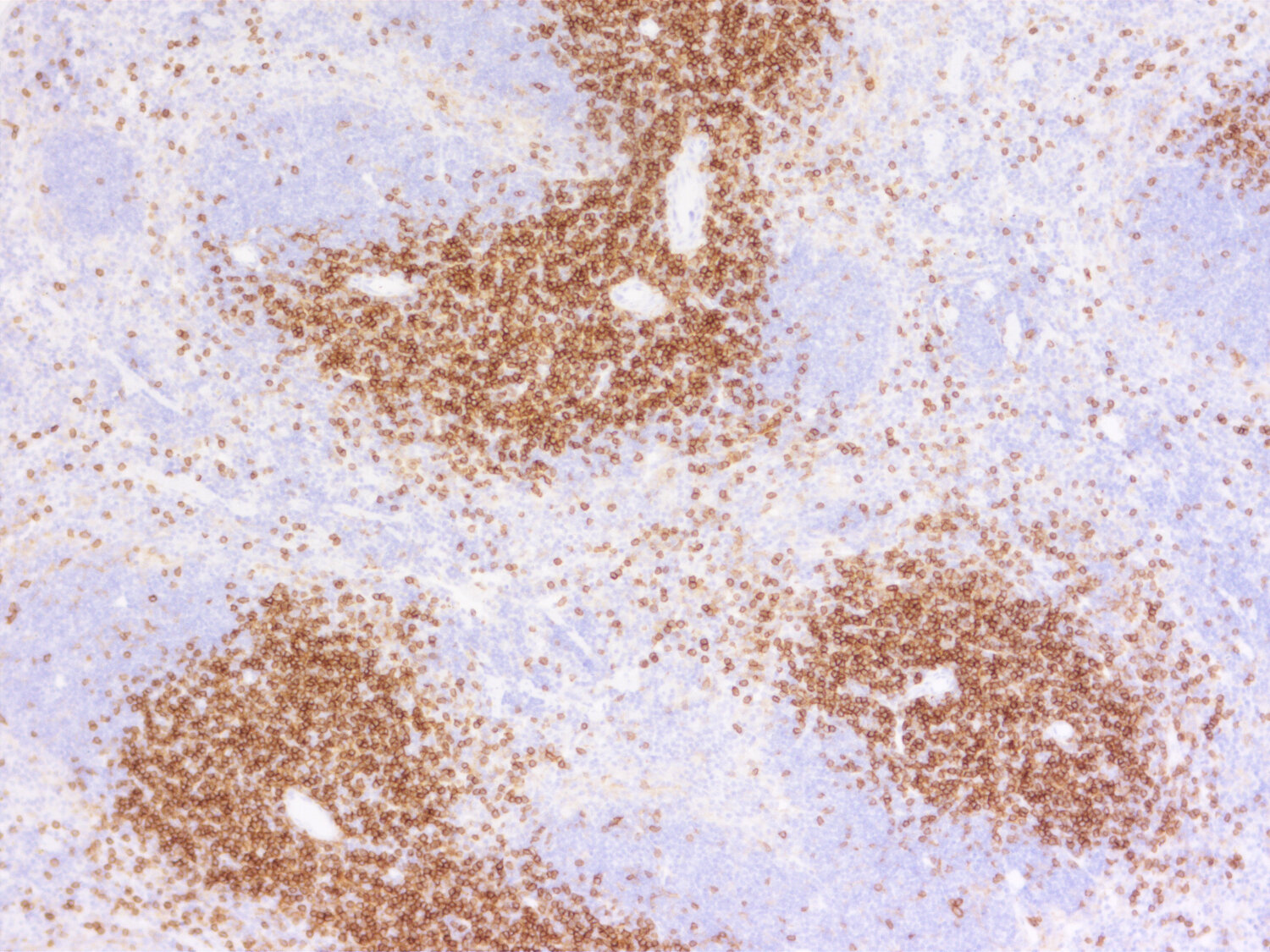
CD3e+ CD4+ double-positive T-helper cells (yellow) in FFPE mouse spleen.

Nanostructured lipid carriers based mRNA vaccine leads to a T cell-inflamed tumour microenvironment favourable for improving PD-1/PD-L1 blocking therapy and long-term immunity in a cold tumour model.
Fournier C, Mercey-Ressejac M, Derangère V, Al Kadi A, Rageot D, Charrat C, Leroy A, Vollaire J, Josserand V, Escudé M, Escaich S, et al.
EBioMedicine (2025) 112: 105543. HS-360 108 IHC-P; tested species: mouse
Protein Kinase Inhibitor-Mediated Immunoprophylactic and Immunotherapeutic Control of Colon Cancer.
Ghione S, Racoeur C, Mabrouk N, Shan J, Groetz E, Ballot E, Truntzer C, Chouchane L, Végran F, Paul C, Plenchette S, et al.
Frontiers in immunology (2022) 13: 875764. HS-360 108 IHC-P; tested species: mouse
Follicular helper-T cells restore CD8+-dependent antitumor immunity and anti-PD-L1/PD-1 efficacy.
Niogret J, Berger H, Rebe C, Mary R, Ballot E, Truntzer C, Thibaudin M, Derangère V, Hibos C, Hampe L, Rageot D, et al.
Journal for immunotherapy of cancer (2021) 96: . HS-360 108 IHC-P; tested species: mouse
Background

CD4 (cluster of differentiation 4) is a glycoprotein found on the surface of immune cells such as T helper cells, monocytes, macrophages, and dendritic cells.
CD4 is a co-receptor that assists the T-cell receptor (TCR) in communicating with an antigen-presenting cell.

Certificates

ISO 9001 2015 Quality Management System and Green Lab Platinum certification level for sustaining laboratory processes.

Newsletter

Sign up for our newsletter and get the latest updates and news.
 

Please provide a valid E-Mail-Address
Please provide a valid First name
Please provide a valid Last name