CD11c antibody mouse specific - HS-375 003

CD11c is a fibrinogen receptor involved in cell-cell interaction during inflammation
Rabbit polyclonal purified antibody
Cat. No.: HS-375 003
Amount: 200 µl
Price: $375.00
Cat. No. HS-375 003 200 µl specific antibody, lyophilized. Affinity purified with the immunogen. Azide was added before lyophilization. For reconstitution add 200 µl H2O. Then aliquot and store at -20°C to -80°C until use.
Antibodies should be stored at +4°C when still lyophilized. Do not freeze!
Applications
 
WB: 1 : 100 (AP staining) gallery  
IP: not tested yet
ICC: not tested yet
IHC: 1 : 100 (see remarks) gallery  
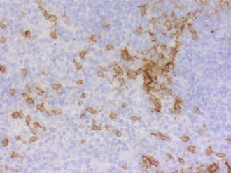
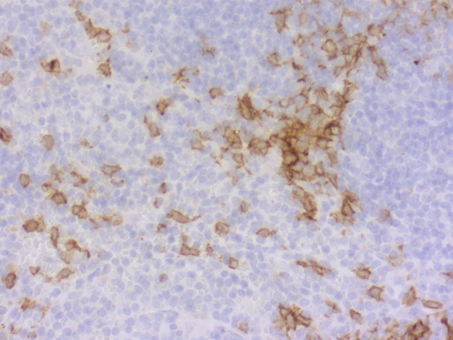
IHC-P: 1 : 100 gallery  

Western blot (WB); separation of proteins by PAGE and subsequent transfer to a membrane. Detection of target molecules is carried out with antibodies. Some antibodies require special sample preparation steps. For details, please refer to the “Remarks” section.

Immunoprecipitation (IP); Immunoisolation or pulldown of a target molecule using an antibody. For details and product specific hints, please refer to the ”Remarks” section.

Immunocytochemistry (ICC) on 4% PFA fixed cells. Immunoreactivity is usually revealed by fluorescence. Some antibodies require special fixation methods. For details, please refer to the “Remarks” section.

Immunohistochemistry (IHC) on 4% PFA perfusion fixed tissue with 24h PFA post fixation. Immunoreactivity is usually revealed by fluorescence or a chromogenic substrate. Some antibodies require special fixation methods or antigen retrieval steps. For details, please refer to the ”Remarks” section.

Immunohistochemistry (IHC-P) of formalin fixed, paraffin embedded (FFPE) tissue (some antibodies require special antigen retrieval steps, please refer to the ”Remarks” section). Immunoreactivity is usually revealed by fluorescence or a chromogenic substrate.

Immunogen Synthetic peptide corresponding to AA 1159 to 1169 from mouse CD11c (UniProt Id: Q9QXH4)
Reactivity Reacts with: mouse (Q9QXH4).
No signal: rat (D3ZWZ1), human (P20702).
Other species not tested yet.
Matching control protein/peptide 375-0P
Remarks

IHC: Antigen retrieval with citrate buffer pH 6 is required.

Data sheet Datasheet hs-375_003

References for CD11c - HS-375 003

STAT6 mediates the effect of ethanol on neuroinflammatory response in TBI.
Olde Heuvel F, Holl S, Chandrasekar A, Li Z, Wang Y, Rehman R, Förstner P, Sinske D, Palmer A, Wiesner D, Ludolph A, et al.
Brain, behavior, and immunity (2019) 81: 228-246. HS-375 003 IHC; tested species: mouse
eIF2A-knockout mice reveal decreased life span and metabolic syndrome.
Anderson R, Agarwal A, Ghosh A, Guan BJ, Casteel J, Dvorina N, Baldwin WM, Mazumder B, Nazarko TY, Merrick WC, Buchner DA, et al.
FASEB journal : official publication of the Federation of American Societies for Experimental Biology (2021) 3511: e21990. HS-375 003 IHC-P; tested species: mouse
Cat. No.: HS-375 003
Amount: 200 µl
Price: $375.00

CD11c positive cells in FFPE mouse spleen section

STAT6 mediates the effect of ethanol on neuroinflammatory response in TBI.
Olde Heuvel F, Holl S, Chandrasekar A, Li Z, Wang Y, Rehman R, Förstner P, Sinske D, Palmer A, Wiesner D, Ludolph A, et al.
Brain, behavior, and immunity (2019) 81: 228-246. HS-375 003 IHC; tested species: mouse
eIF2A-knockout mice reveal decreased life span and metabolic syndrome.
Anderson R, Agarwal A, Ghosh A, Guan BJ, Casteel J, Dvorina N, Baldwin WM, Mazumder B, Nazarko TY, Merrick WC, Buchner DA, et al.
FASEB journal : official publication of the Federation of American Societies for Experimental Biology (2021) 3511: e21990. HS-375 003 IHC-P; tested species: mouse
Background

CD11c or Integrin alpha-X (ITGAX) is a heterodimeric glycoprotein consisting of an α- and β-subunit and has seven repeating integrin domains. This transmembrane receptor type I plays a pivotal role in T cell killing and mediates intercellular adhesions during inflammation. Predominat expression levels have been found in dendritic cells, monocytes, macrophages, neutrophils and a small subset of B cells. Under pathological conditions, CD11c is a marker for hairy cell leukemia, acute non-lymphocytic leukemias, and some chronic lymphocytic leukemias.

Protocols for HS-375 003

Certificates

ISO 9001 2015 Quality Management System and Green Lab Platinum certification level for sustaining laboratory processes.

Newsletter

Sign up for our newsletter and get the latest updates and news.
 

Please provide a valid E-Mail-Address
Please provide a valid First name
Please provide a valid Last name