F4/80 antibody - HS-397 004

F4/80 is a marker protein for murine macrophages
Guinea pig polyclonal antiserum
Cat. No.: HS-397 004
Amount: 100 µl
Price: $355.00
Cat. No. HS-397 004 100 µl antiserum, lyophilized. For reconstitution add 100 µl H2O, then aliquot and store at -20°C until use.
Antibodies should be stored at +4°C when still lyophilized. Do not freeze!
Applications
 
WB: not recommended
IP: not tested yet
ICC: not tested yet
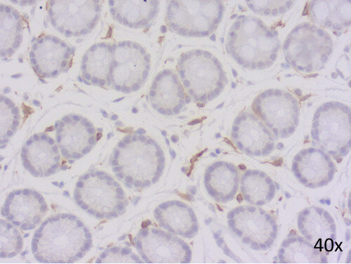
IHC: 1 : 500 gallery  
IHC-P: 1 : 500 gallery  

Western blot (WB); separation of proteins by PAGE and subsequent transfer to a membrane. Detection of target molecules is carried out with antibodies. Some antibodies require special sample preparation steps. For details, please refer to the “Remarks” section.

Immunoprecipitation (IP); Immunoisolation or pulldown of a target molecule using an antibody. For details and product specific hints, please refer to the ”Remarks” section.

Immunocytochemistry (ICC) on 4% PFA fixed cells. Immunoreactivity is usually revealed by fluorescence. Some antibodies require special fixation methods. For details, please refer to the “Remarks” section.

Immunohistochemistry (IHC) on 4% PFA perfusion fixed tissue with 24h PFA post fixation. Immunoreactivity is usually revealed by fluorescence or a chromogenic substrate. Some antibodies require special fixation methods or antigen retrieval steps. For details, please refer to the ”Remarks” section.

Immunohistochemistry (IHC-P) of formalin fixed, paraffin embedded (FFPE) tissue (some antibodies require special antigen retrieval steps, please refer to the ”Remarks” section). Immunoreactivity is usually revealed by fluorescence or a chromogenic substrate.

Immunogen Synthetic peptide corresponding to AA 28 to 42 from mouse F4/80 (UniProt Id: Q61549)
Reactivity Reacts with: mouse (Q61549).
Other species not tested yet.
Data sheet Datasheet hs-397_004

References for F4/80 - HS-397 004

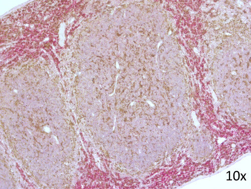
Zika virus infection causes widespread damage to the inner ear.
Yee KT, Neupane B, Bai F, Vetter DE
Hearing research (2020) 395: 108000. HS-397 004 IHC; tested species: mouse
Cat. No.: HS-397 004
Amount: 100 µl
Price: $355.00

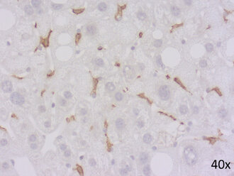
F4/80 positive cells in FFPE mouse liver section

Zika virus infection causes widespread damage to the inner ear.
Yee KT, Neupane B, Bai F, Vetter DE
Hearing research (2020) 395: 108000. HS-397 004 IHC; tested species: mouse
Background
The murine macrophage cell surface glycoprotein F4/80 is a member of the epidermal growth factor-seven transmembrane (EGF-TM7) family. It is involved in the generation of antigen-specific efferent regulatory T cells that suppress antigen-specific immunity but not required for the development and distribution of tissue macrophages.
Although F4/80 is widely used as a marker of murine macrophage populations it is not equivalently expressed across tissue-specific macrophage lineages: e.g. red pulp macrophages of the spleen and Kupffer cells of the liver are F4/80-positive, white pulp and marginal zone macrophages of the spleen are F4/80-negative and alveolar macrophages are F4/80dim.
F4/80 expression is not restricted to macrophages, but also found in murine Epidermal Langerhans Cells; dendritic cells of the skin. The human ortholog of F4/80, EGF-like module containing mucin-like hormone receptor (EMR)1, is absent on mononuclear phagocytic cells including monocytes, macrophages, and myeloid dendritic cells and seems to be highly specific for eosinophils in humans.
Protocols for HS-397 004

Certificates

ISO 9001 2015 Quality Management System and Green Lab Platinum certification level for sustaining laboratory processes.

Newsletter

Sign up for our newsletter and get the latest updates and news.
 

Please provide a valid E-Mail-Address
Please provide a valid First name
Please provide a valid Last name