F4/80 antibody - HS-397 008

F4/80 is a marker protein for murine macrophages
Rabbit monoclonal recombinant IgG
Cat. No.: HS-397 008
Amount: 100 µl
Price: $420.00
Cat. No. HS-397 008 100 µl purified recombinant IgG, lyophilized. Albumin and azide were added for stabilization. For reconstitution add 100 µl H2O. Then aliquot and store at -20°C to -80°C until use.
Antibodies should be stored at +4°C when still lyophilized. Do not freeze!
Applications
 
WB: 1 : 1000 (AP staining) gallery  
IP: not tested yet
ICC: not tested yet
IHC: 1 : 500 gallery  
IHC-P: 1 : 100 (see remarks) gallery  

Western blot (WB); separation of proteins by PAGE and subsequent transfer to a membrane. Detection of target molecules is carried out with antibodies. Some antibodies require special sample preparation steps. For details, please refer to the “Remarks” section.

Immunoprecipitation (IP); Immunoisolation or pulldown of a target molecule using an antibody. For details and product specific hints, please refer to the ”Remarks” section.

Immunocytochemistry (ICC) on 4% PFA fixed cells. Immunoreactivity is usually revealed by fluorescence. Some antibodies require special fixation methods. For details, please refer to the “Remarks” section.

Immunohistochemistry (IHC) on 4% PFA perfusion fixed tissue with 24h PFA post fixation. Immunoreactivity is usually revealed by fluorescence or a chromogenic substrate. Some antibodies require special fixation methods or antigen retrieval steps. For details, please refer to the ”Remarks” section.

Immunohistochemistry (IHC-P) of formalin fixed, paraffin embedded (FFPE) tissue (some antibodies require special antigen retrieval steps, please refer to the ”Remarks” section). Immunoreactivity is usually revealed by fluorescence or a chromogenic substrate.

Clone Rb167B3
Subtype IgG1 (κ light chain)
Immunogen Synthetic peptide corresponding to AA 28 to 42 from mouse F4/80 (UniProt Id: Q61549)
Reactivity Reacts with: mouse (Q61549).
No signal: rat.
Other species not tested yet.
Remarks

This antibody is a chimeric antibody based on the monoclonal rat antibody clone 167B3. The constant regions of the heavy and light chains have been replaced by rabbit specific sequences. Therefore, the antibody can be used with standard anti-rabbit secondary reagents. The antibody has been expressed in mammalian cells.
IHC-P: In contrast to the original rat antibody clone 167B3, the rabbit chimeric antibody (cat. no. HS-397 008) shows weak non-specific staining of nucleoli in mouse brain using the SYSY Reference protocol.

Data sheet Datasheet hs-397_008

References for F4/80 - HS-397 008

Local M1 Macrophage Reprogramming with Gluconic Acid-Coated Selenium Nanoparticles.
Liao ZX, Ou DL, Hsu CL, Lu LN, Wen CH, Lu L, Chiu CL, Yang PC, Tseng SJ
International journal of nanomedicine (2025) 20: 14439-14455. HS-397 008 IHC-P; tested species: mouse
Nano-modified viruses prime the tumor microenvironment and promote the photodynamic virotherapy in liver cancer.
Ou DL, Liao ZX, Kempson IM, Li L, Yang PC, Tseng SJ
Journal of biomedical science (2024) 311: 1. HS-397 008 IHC-P; tested species: mouse
Genomic and Transcriptomic Landscape of an Oral Squamous Cell Carcinoma Mouse Model for Immunotherapy.
Lee YM, Hsu CL, Chen YH, Ou DL, Hsu C, Tan CT
Cancer immunology research (2023) : . HS-397 008 IHC-P; tested species: mouse
Cat. No.: HS-397 008
Amount: 100 µl
Price: $420.00

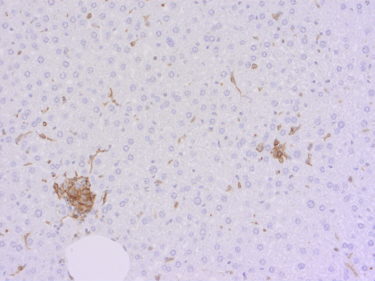
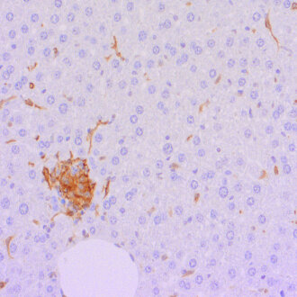
F4/80 positive Kupffer cells in FFPE mouse liver. Immunohistochemical staining of a formalin fixed paraffin embedded mouse liver tissue section with monoclonal rabbit anti-F4/80 (cat, no. HS-397 008, dilution 1:100, DAB). Nuclei have been counterstained with haematoxylin (blue).

Local M1 Macrophage Reprogramming with Gluconic Acid-Coated Selenium Nanoparticles.
Liao ZX, Ou DL, Hsu CL, Lu LN, Wen CH, Lu L, Chiu CL, Yang PC, Tseng SJ
International journal of nanomedicine (2025) 20: 14439-14455. HS-397 008 IHC-P; tested species: mouse
Nano-modified viruses prime the tumor microenvironment and promote the photodynamic virotherapy in liver cancer.
Ou DL, Liao ZX, Kempson IM, Li L, Yang PC, Tseng SJ
Journal of biomedical science (2024) 311: 1. HS-397 008 IHC-P; tested species: mouse
Genomic and Transcriptomic Landscape of an Oral Squamous Cell Carcinoma Mouse Model for Immunotherapy.
Lee YM, Hsu CL, Chen YH, Ou DL, Hsu C, Tan CT
Cancer immunology research (2023) : . HS-397 008 IHC-P; tested species: mouse
Background
The murine macrophage cell surface glycoprotein F4/80 is a member of the epidermal growth factor-seven transmembrane (EGF-TM7) family. It is involved in the generation of antigen-specific efferent regulatory T cells that suppress antigen-specific immunity but not required for the development and distribution of tissue macrophages.
Although F4/80 is widely used as a marker of murine macrophage populations it is not equivalently expressed across tissue-specific macrophage lineages: e.g. red pulp macrophages of the spleen and Kupffer cells of the liver are F4/80-positive, white pulp and marginal zone macrophages of the spleen are F4/80-negative and alveolar macrophages are F4/80dim.
F4/80 expression is not restricted to macrophages, but also found in murine Epidermal Langerhans Cells; dendritic cells of the skin. The human ortholog of F4/80, EGF-like module containing mucin-like hormone receptor (EMR)1, is absent on mononuclear phagocytic cells including monocytes, macrophages, and myeloid dendritic cells and seems to be highly specific for eosinophils in humans.
Protocols for HS-397 008

Certificates

ISO 9001 2015 Quality Management System and Green Lab Platinum certification level for sustaining laboratory processes.

Newsletter

Sign up for our newsletter and get the latest updates and news.
 

Please provide a valid E-Mail-Address
Please provide a valid First name
Please provide a valid Last name