| Cat. No. HS-477 017BT |
100 µg purified IgG, lyophilized, labeled with
Biotin.
Albumin and azide were added for stabilization. For reconstitution add 100 µl H2O to get a 1mg/ml solution in PBS. Then aliquot and store at -20°C to -80°C until use. Antibodies should be stored at +4°C when still lyophilized. Do not freeze! |
| Applications | |
| Label | biotin |
| Clone | SY-17F7 |
| Subtype | IgG2a (κ light chain) |
| Immunogen | Synthetic peptide corresponding to residues near the amino terminus of mouse Galectin-3 (UniProt Id: P16110) |
| Reactivity |
Reacts with: mouse (Q61176). No signal: human ( P05089), rat. Other species not tested yet. |
| Data sheet | Datasheet hs-477_017bt |
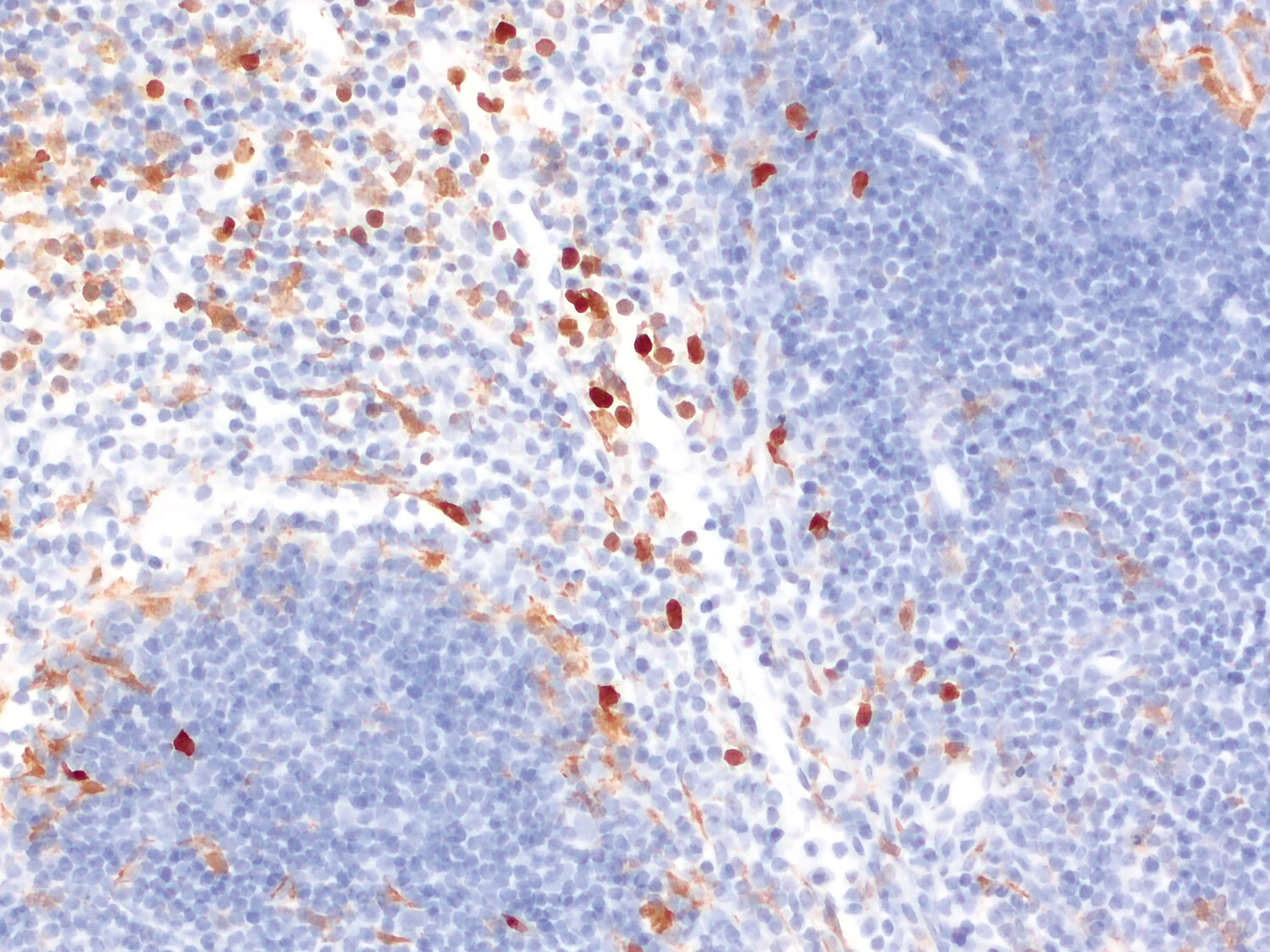
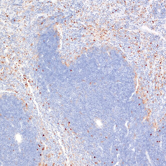
Staining of murine spleen section with biotinylated rat anti-Galectin-3
Galectin-3 (Gal-3, Mac-2) is a β-galactoside binding protein that is predominantly located in the cytoplasm and shuttles into the nucleus. In addition, it is secreted to the cell surface and into biological fluids. Depending on its localization, it exerts pleiotropic biological functions like cell growth, cell differentiation, inflammation, fibrogenesis, migration, apoptosis, and host defense (1). It is also involved in cancer pathogenesis, proliferation, and spreading of metastasis (2). Galectin-3 is highly expressed in the covering epithelia of the digestive tract and the urinary system (3) and plays important roles in the organization of renal and intestinal cells. Furthermore, Galectin-3 has been identified in a variety of other cell types including fibroblasts, keratinocytes, granulocytes, dendritic cells, and macrophages (2). Galectin-3 is expressed by certain tissue-resident macrophages such as Kupffer cells in the liver, red pulp macrophages in the spleen, and alveolar macrophages in the lung (3). In the brain, Galectin-3 is abundant in activated microglia but not expressed in resting cells. Following brain injury, Galectin-3 triggers anti-inflammatory properties of microglia (4). In Alzheimer’s disease, Gal-3 expression is strictly associated with microglial cell activation around Aβ plaques. In stroke, Gal-3 was found to be expressed primarily in proinflammatory microglial cells (5).