CD73 (NT5E) antibody mouse specific - HS-492 003

CD73 is a cell-surface ectonucleotidase that converts AMP into adenosine
Rabbit polyclonal purified antibody
Cat. No.: HS-492 003
Amount: 50 µg
Price: $375.00
Cat. No. HS-492 003 50 µg specific antibody, lyophilized. Affinity purified with the immunogen. Albumin and azide were added for stabilization. For reconstitution add 50 µl H2O to get a 1mg/ml solution in PBS. Then aliquot and store at -20°C to -80°C until use.
Antibodies should be stored at +4°C when still lyophilized. Do not freeze!
Applications
 
WB: not recommended
IP: not tested yet
ICC: not tested yet
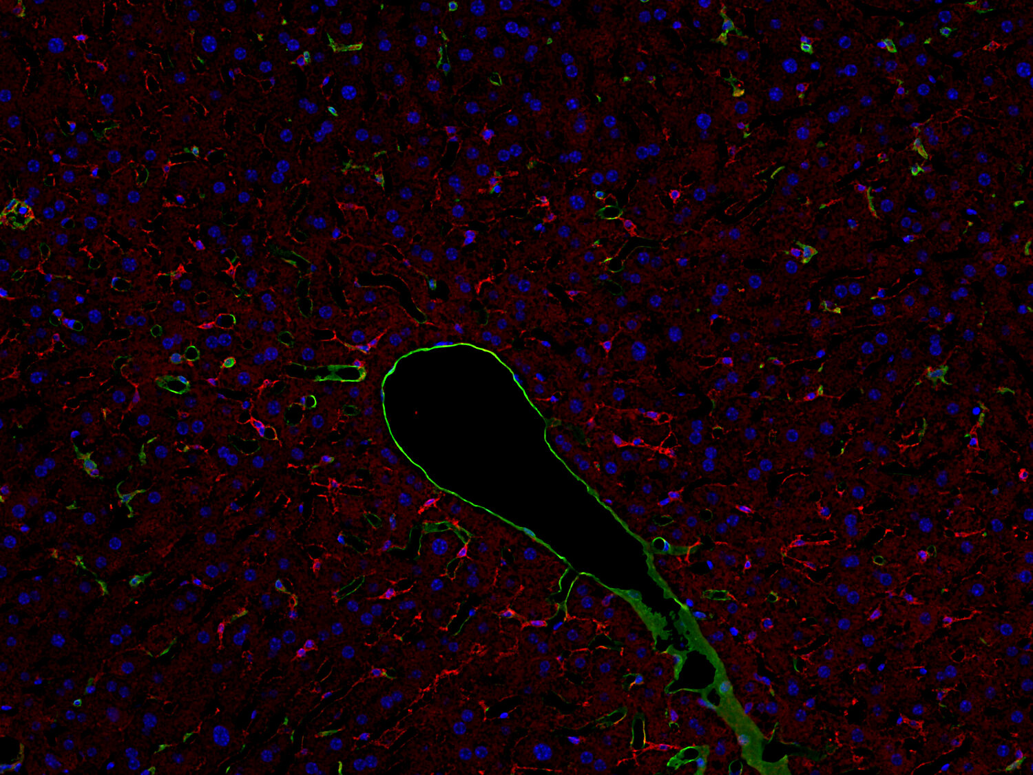
IHC: 1 : 500 (see remarks) gallery  
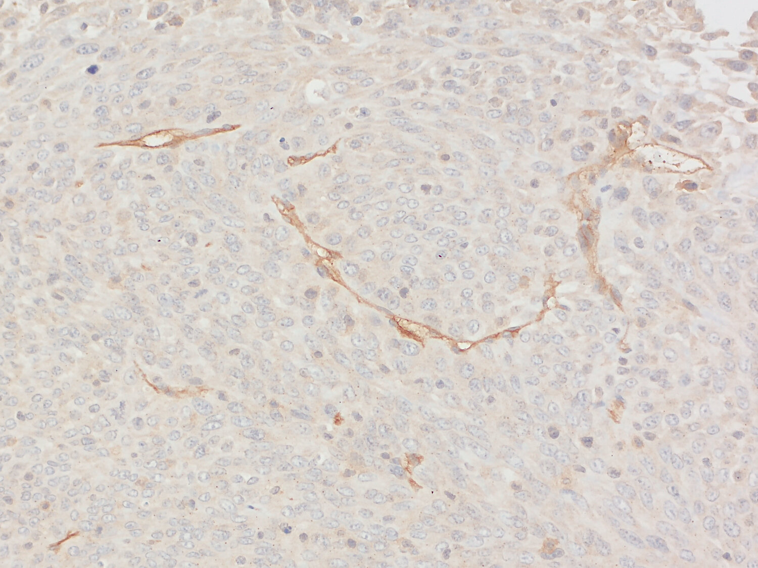
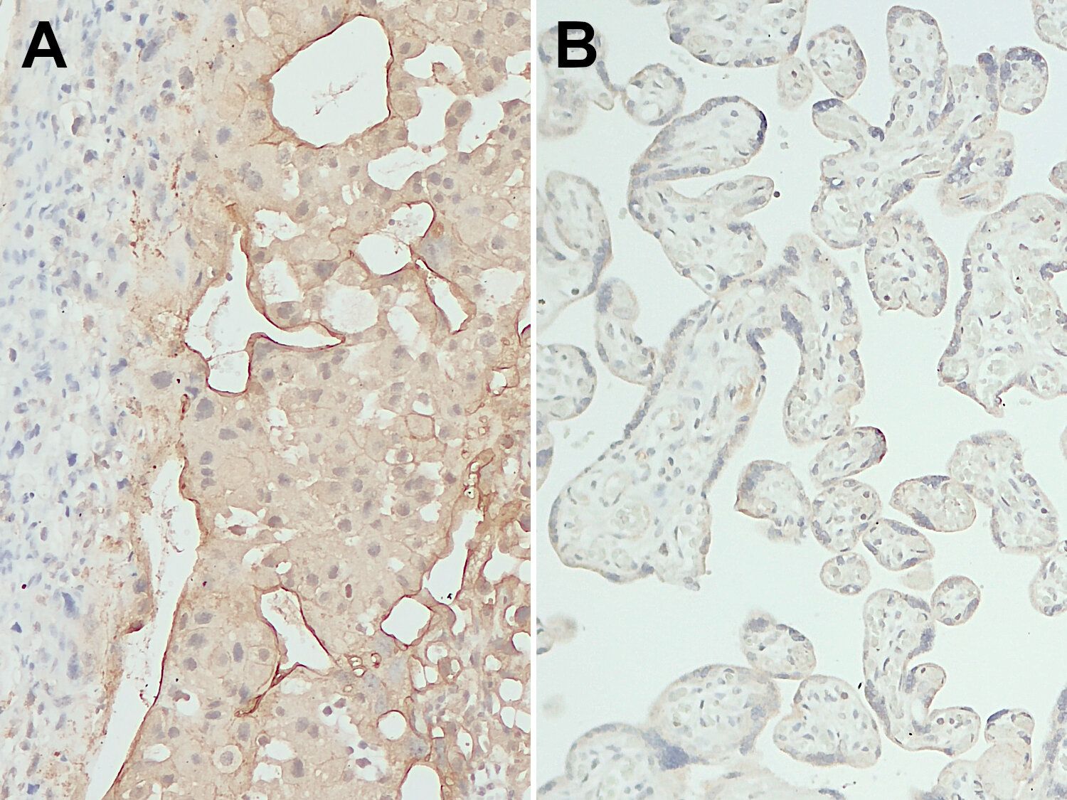
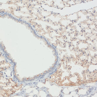
IHC-P: 1 : 250 up to 1 : 1000 gallery  

Western blot (WB); separation of proteins by PAGE and subsequent transfer to a membrane. Detection of target molecules is carried out with antibodies. Some antibodies require special sample preparation steps. For details, please refer to the “Remarks” section.

Immunoprecipitation (IP); Immunoisolation or pulldown of a target molecule using an antibody. For details and product specific hints, please refer to the ”Remarks” section.

Immunocytochemistry (ICC) on 4% PFA fixed cells. Immunoreactivity is usually revealed by fluorescence. Some antibodies require special fixation methods. For details, please refer to the “Remarks” section.

Immunohistochemistry (IHC) on 4% PFA perfusion fixed tissue with 24h PFA post fixation. Immunoreactivity is usually revealed by fluorescence or a chromogenic substrate. Some antibodies require special fixation methods or antigen retrieval steps. For details, please refer to the ”Remarks” section.

Immunohistochemistry (IHC-P) of formalin fixed, paraffin embedded (FFPE) tissue (some antibodies require special antigen retrieval steps, please refer to the ”Remarks” section). Immunoreactivity is usually revealed by fluorescence or a chromogenic substrate.

Immunogen Synthetic peptide corresponding to residues surrounding AA 310 of mouse CD73 (UniProt Id: Q61503)
Reactivity Reacts with: mouse (Q61503).
No signal: human (P21589), rat.
Other species not tested yet.
Remarks

IHC: Antigen retrieval with citrate buffer pH 6 is required.

Data sheet Datasheet hs-492_003
Cat. No.: HS-492 003
Amount: 50 µg
Price: $375.00

CD73 is expressed on airway epithelial cells of the mouse lung

Background

CD73, also known as NT5E (ecto-5′-nucleotidase), is a cell surface ectoenzyme involved in the conversion of ATP to extracellular adenosine together with CD39 (ENTPD1, ecto-nucleoside triphosphate diphosphohydrolase). CD39 degrades extracellular ATP to AMP, thereby providing the substrate for the conversion of AMP to adenosine by CD73 (1). ATP is present in high concentrations inside cells and is released from damaged cells into the extracellular space during tissue injury or inflammation, where it acts as “danger signal”. In contrast, extracellular adenosine mainly mediates anti-inflammatory effects (1). CD73 is expressed by several cell types, including T and B cell subsets, endothelial cells, and epithelial cells. Among T cells, CD73 is mainly expressed by regulatory T cells (Tregs), which mediate immune suppressive actions against dendritic cells, monocytes and effector T cells (2). In solid human tumors, high CD73 expression has been found to be closely associated with tumor invasiveness and metastasis. CD73 has recently shown promise as a target for novel immunotherapies (3).

Protocols for HS-492 003

Certificates

ISO 9001 2015 Quality Management System and Green Lab Platinum certification level for sustaining laboratory processes.

Newsletter

Sign up for our newsletter and get the latest updates and news.
 

Please provide a valid E-Mail-Address
Please provide a valid First name
Please provide a valid Last name