COVID-19 – more than a respiratory disease

 

Overview

 

Introduction

When a new member of the coronavirus family emerged in the Chinese province of Hubei at the end of 2019, it was given the name severe acute respiratory syndrome coronavirus 2 (SARS-CoV-2), as the first cases of the resulting disease COVID-19 were predominantly characterized by severe lung damage with multiple organ failure and even death (Synowiec et al., 2021). Not surprisingly, the lung was discovered as the main source of infection and immunohistochemical staining of autopsy samples of human lungs revealed a high load of pathogen-specific nucleocapsid protein (Figure 1A and 1B).

Mouse anti-SARS-CoV-2 nucleocapsid (clone 4A8)
Mouse anti-SARS-CoV-1 and -2 nucleocapsid (clone 53E2)

Figure 1: Immunohistochemical staining of formalin-fixed paraffin-embedded COVID-19 patient lung tissue or non-infected control lung using anti-SARS-CoV-2 (COVID-19) Nucleocapsid antibodies (A: cat. no. HS-452 011, 1:1000; B: cat. no. HS-452 111, 1:500). Heat mediated antigen retrieval and staining was performed using the Ventana Benchmark XT autostainer. Scale bar: 100μm. 
Immunohistochemical sections of lung tissues were kindly tested and provided by Dres. Krasemann/Heinrich/Pfefferle, UKE-Hamburg/Germany.

 

SARS-CoV-2 is an enveloped, positive-sense single-stranded RNA virus. Coronavirus particles consist of four main structural proteins: spike, envelope, membrane, and nucleocapsid (Synowiec et al., 2021) (Figure 2).

Schematic representation of the SARS-CoV-2 virus particle (adapted from Pizzato et al., 2022). The virion contains positive-sense single-stranded RNA surrounded by a lipid envelope containing the spike, envelope and membrane proteins.

Figure 2: Schematic representation of the SARS-CoV-2 virus particle (adapted from Pizzato et al., 2022). The virion contains positive-sense single-stranded RNA surrounded by a lipid envelope containing the spike, envelope and membrane proteins.

 

The spike protein is responsible for determining the host area and penetrating the cell. Mutations in the spike protein can increase infectivity and/or lead to immune escape (Magazine et al., 2022). A proven increase in transmissibility or a change in the clinical picture led to the classification of Sars-CoV-2 variants as variants of concern (VOCs) by the World Health Organization (WHO), such as the alpha, beta, gamma, delta and omicron variants. All variants carry several mutations in the spike protein (Magazine et al., 2022). The nucleocapsid protein is localized within the virion and modulates RNA unwinding after entry into the cell. The nucleocapsid mutation R203K+G204R, which was found in the alpha and omicron variants, leads to an improvement in the replication, fitness and pathogenesis of SARS-CoV-2 (Johnson et al., 2022).
 

Detection of SARS-CoV-2

In immunohistochemical studies of lungs from COVID-19 patients, the abundance of the spike protein was low compared to the nucleocapsid protein and the use of anti-nucleocapsid antibodies increased the sensitivity of detection (Krasemann et al., 2022). HistoSure anti-SARS-CoV-2 nucleocapsid antibodies proved to be highly specific and sensitive in a multicenter approach to establish essential standards for the immunohistochemical detection of coronavirus in patient samples. In addition, the HistoSure anti-SARS-CoV-2 nucleocapsid antibodies were shown to not only reliably detect the SARS-CoV-2 wildtype with better result than antibodies directed against spike proteins, non-structural protein 3 (Nsp3) or double-strand RNA, but also recognize the widespread omicron variant of concern (Krasemann et al., 2022).

In severe cases of Sars-CoV-2, thrombotic complications and adverse effects on various organs systems, such as heart, liver, gastrointestinal system, kidney and brain have been observed. The SARS-CoV-2 virus uses ACE2 (angiotensin-converting enzyme 2) and the cellular protease TMPRSS2 (a spike-priming protease) for entry into human cells (Gupta et al., 2020). ACE2 is an enzyme found mainly in the epithelium of various human organs, e.g. the lungs, liver, kidneys, stomach, intestines, arteries and veins, heart, oral mucosa, nasopharynx, colon, thymus, bladder, and central nervous system (Ambrocio-Ortiz et al., 2021). Although the expression of ACE2 protein is negligible in normal lung parenchyma, the expression of ACE2 protein was significantly increased in the lung parenchyma of patients with fatal COVID-19 disease (Gheware et al., 2022).

Human ACE2-expressing K18-hACE2 transgenic mice can be infected with the SARS-CoV virus (McCray Jr. et al., 2007), and the presence of SARS-CoV-2 RNA can be detected in a variety of organs, e.g. in the lungs (Figure 3). Transgenic mice are therefore a valuable tool for testing therapies against Sars-CoV-2, e.g. the use of neutralizing antibodies (Abassi et al., 2023).

Representative image of an immunohistochemical staining of nucleocapsid CoV-1/2 (HS-452 111, green), macrophage marker MAC2 (red), and nuclei (DAPI, blue) in formalin-fixed paraffin embedded lung tissue of SARS-CoV-2 (Delta variant) infected mice.

Figure 3: Representative image of an immunohistochemical staining of nucleocapsid CoV-1/2
(HS-452 111, green), macrophage marker MAC2 (red), and nuclei (DAPI, blue) in formalin-fixed paraffin-embedded lung tissue of SARS-CoV-2 (delta variant) infected mice.
Courtesy: Leila Abassi, Marina Greweling-Pils & Luka Čičin-Šain, Helmholtz Centre for Infection Research, Braunschweig

 

Role of COVID-19 infection in neurological impairments

Although considered mainly a respiratory disease, acute COVID-19 infection is also associated with a variety of neurological impairments such as headache, less frequently hallucinations, delusions and behavioral changes, while more serious complications such as meningitis, encephalitis or cerebrovascular disease are rare (Vanderheiden and Klein, 2022). Moreover, after recovery fatigue-like symptoms, neurocognitive problems, depression, and other long-lasting symptoms can persist. This "long-COVID syndrome" is not dependent on the initial severity of the disease and lasts for several months after acute infection (Theoharides and Kempuraj, 2023). 

In the brain, ACE2 is expressed in endothelial cells, the choroid plexus and the ventral posterior nucleus of the thalamus (Vanderheiden and Klein, 2022). In contrast, the protease TMPRSS2 is not expressed in the CNS. Recent findings support the possible role of the transmembrane receptor neuropilin-1 (NRP1) as an additional mediator of SARS-CoV-2 infection in the brain (Davies et al., 2020).
Anti-nucleocapsid antibodies can also be used to detect viral particles in neuronal cells in the brains of K18-hACE2 transgenic mice infected with the Sars-CoV virus (Figures 4 and 5).

Indirect immunostaining of PFA fixed brain sections from B: a SARS-CoV-2 infected K18-hACE2 transgenic mouse in comparison to A: a non-infected control using the monoclonal anti-SARS-Cov-2 nucleocapsid antibody clone #4A8 (cat. no. HS-452 011, dilution 1:1000; red). Nuclei have been visualized by DAPI Staining (blue).
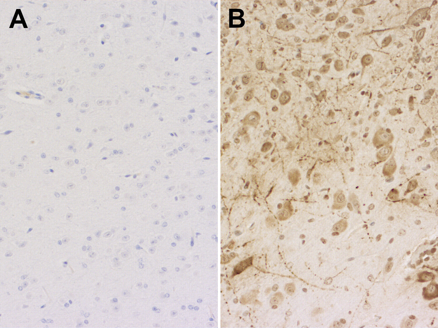
Immunohistochemical staining of formalin fixed paraffin embedded brain sections from K18-hACE2 transgenic mice B: infected with SARS-CoV-2 or A: non-infected control using the monoclonal anti-Sars-Cov-2 nucleocapsid antibody clone #53E2 (cat. no. HS-452 111, dilution 1:1000; DAB). Nuclei have been counterstained with haematoxylin (blue).

Figure 4: Indirect immunostaining of PFA fixed brain sections from B: a SARS-CoV-2 infected K18-hACE2 transgenic mouse in comparison to A: a non-infected control using the monoclonal anti-SARS-Cov-2 nucleocapsid antibody clone #4A8 (cat. no. HS-452 011, dilution 1:1000; red). Nuclei have been visualized by DAPI Staining (blue).
The mice were housed and infected at the Helmholtz Center for Infection Research by the group of Prof. Čičin-Šain.

Figure 5: Immunohistochemical staining of formalin-fixed paraffin-embedded brain sections from K18-hACE2 transgenic mice B: infected with SARS-CoV-2 or A: non-infected control using the monoclonal anti-Sars-Cov-2 nucleocapsid antibody clone #53E2 (cat. no. HS-452 111, dilution 1:1000; DAB). Nuclei have been counterstained with hematoxylin (blue).

The mice were housed and infected at the Helmholtz Center for Infection Research by the group of Prof. Čičin-Šain.

 

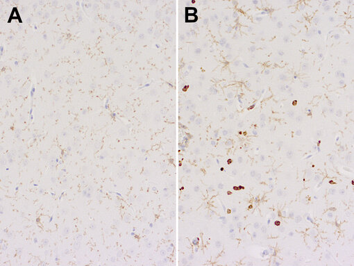
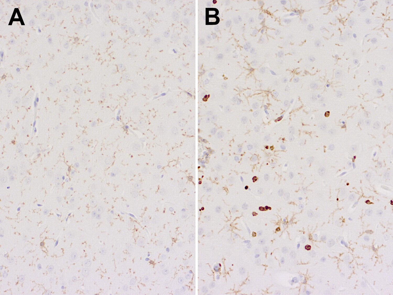
SARS-CoV-2 infection leads to a strong neuroinflammatory response in these transgenic mice characterized by microglial activation (Figure 6) and neutrophil infiltration (Figure 7).

Immunohistochemical staining of formalin fixed paraffin embedded mouse brain sections from A: a non-infected PBS control mouse and B: K18-hACE2 transgenic mouse with rat anti-CD11b (cat. no. HS-384 117, dilution 1:200, DAB). Nuclei have been counterstained with haematoxylin (blue).
Immunohistochemical staining of formalin fixed paraffin embedded mouse brain sections from A: a non-infected PBS control mouse and B: a K18-hACE2 transgenic mouse with rat anti-Chil3 (cat. no. HS-442 017, dilution 1:200, DAB). Nuclei have been counterstained with haematoxylin (blue).

Figure 6: Immunohistochemical staining of formalin-fixed paraffin-embedded mouse brain sections from A: a non-infected PBS control mouse and B: K18-hACE2 transgenic mouse with rat anti-CD11b (cat. no. HS-384 117, dilution 1:200, DAB). Nuclei have been counterstained with hematoxylin (blue).

The mice were housed and infected at The Helmholtz Center for Infection research in cooperation with Prof. Kröger and Prof. Čičin-Šain.

Figure 7: Immunohistochemical staining of formalin-fixed paraffin-embedded mouse brain sections from A: a non-infected PBS control mouse and B: a K18-hACE2 transgenic mouse with rat anti-Chil3 (cat. no. HS-442 017, dilution 1:200, DAB). Nuclei have been counterstained with hematoxylin (blue). 

The mice were housed and infected at The Helmholtz Center for Infection research in cooperation with Prof. Kröger and Prof. Čičin-Šain.

 

Although the infection of the brain is less pronounced in human patients and only individual infected cells are found in the brain, activation of microglia is also observed in COVID-19 patients as a sign of neuroinflammatory reactions (Matschke et al., 2022). Neurocognitive and neurological impairments can also be found in patients in the absence of severe morphological changes and clear evidence for viral replication in neurons, glial or other CNS cells indicating that observed clinical symptoms could be at least partly caused by CNS responses to systemic inflammation (Theoharides and Kempuraj, 2023; Radke et al., 2024). 

This so-called "Neuro-COVID" is a common phenomenon in long-COVID patients and so far, there are no approved drugs to treat this condition (reviewed in Theoharides and Kempuraj, 2023).

 

Products

Dear Customer,
thank you for your interest in our products. Our high-quality antibodies are featured in the DNA-PAINT Neuro-Imaging Kits, which are developed and distributed by Massive Photonics GmbH.

To ensure your request is handled efficiently, please use the provided input form to contact Massive Photonics directly.

With kind regards,
Your SYSY Antibodies Team


Cat. No. Product Description Application Quantity Price Cart
HS-452 111
Nucleocapsid CoV-1/2, mouse, monoclonal, purified IgG IgGWB ICC IHC IHC-P 200 µl$420.00
HS-452 111BT
Nucleocapsid CoV-1/2, mouse, monoclonal, purified IgG IgG, biotinIHC-P ELISA 100 µg$470.00
HS-452 011
Nucleocapsid CoV-2, mouse, monoclonal, purified IgG IgGWB ICC IHC IHC-P ELISA 200 µl$420.00
HS-452 011BT
Nucleocapsid CoV-2, mouse, monoclonal, purified IgG IgG, biotinIHC-P 100 µg$470.00
End of List
Result count: 4
 

Author: Dr. Christel Bonnas
Scientific Director of HistoSure

Christel has a strong background in immunology and histopathology. She is responsible for antibody development, validation and quality control of our HistoSure product line.

 

Literature

Abassi et al., 2023. Evaluation of the Neutralizing Antibody STE90-C11 against SARS-CoV-2 Delta Infection and Its Recognition of Other Variants of Concerns. PMID: 38005829

Ambrocio-Ortiz et al., 2021. Angiotensin-Converting Enzyme 2 (ACE2) in the Context of Respiratory Diseases and Its Importance in Severe Acute Respiratory Syndrome Coronavirus 2 (SARS-CoV-2) Infection. PMID: 34451902

Davies et al., 2020. Neuropilin 1 as a new potential SARS CoV 2 infection mediator implicated in the neurologic features and central nervous system involvement of COVID 19. PMID: 33000221

Gheware et al., 2022. ACE2 protein expression in lung tissues of severe COVID-19 infection. PMID: 35260724

Gupta et al. 2020. Extrapulmonary manifestations of COVID-19. PMID: 32651579

Johnson et al., 2022. Nucleocapsid mutations in SARS-CoV-2 augment replication and pathogenesis. PMID: 34671771

Krasemann et al., 2022. Assessing and improving the validity of COVID-19 autopsy studies - a multicenter approach to establish essential standards for immunohistochemical and ultrastructural analyses. PMID: 35930888

Magazine et al., 2022. Mutations and Evolution of the SARS-CoV-2 Spike Protein. PMID: 35337047

Matschke et al., 2022. Young COVID-19 Patients Show a Higher Degree of Microglial Activation When Compared to Controls. PMID: 35785352

McCray PB Jr. et al., 2007. Lethal infection in K18-hACE2 mice infected with SARS-CoV. PMID: 17079315

Pizzato et al., 2022. SARS-CoV-2 and the Host Cell: A Tale of Interactions. https://doi.org/10.3389/fviro.2021.815388

Synowiec et al., 2021. Severe Acute Respiratory Syndrome Coronavirus 2 (SARS-CoV-2): a Systemic Infection. PMID: 33441314

Theoharides and Kempuraj, 2023. Role of SARS-CoV-2 Spike-Protein-Induced Activation of Microglia and Mast Cells in the Pathogenesis of Neuro-COVID. PMID: 36899824

Radke et al., 2024. Proteomic and transcriptomic profiling of brainstem, cerebellum and olfactory tissues in early- and late-phase COVID-19. PMID: 38366144

Vanderheiden and Klein 2022. Neuroinflammation and COVID-19. PMID: 35863101

 

Certificates

ISO 9001 2015 Quality Management System and Green Lab Platinum certification level for sustaining laboratory processes.

Newsletter

Sign up for our newsletter and get the latest updates and news.
 

Please provide a valid E-Mail-Address
Please provide a valid First name
Please provide a valid Last name