Application of Species-Specific Antibodies in Humanized Mouse Models

 

Overview

Humanized mice - Definition

The term humanized mouse is defined as mouse xenotransplanted with human cells and/or cells expressing human gene products. Although the laboratory mouse shares the majority of its protein-coding genes with humans (Yue et al., 2014), not all aspects of mouse biology reflect human biology. Major differences are found for example in immune system development, activation and response to challenge (Mestas et al., 2004). Furthermore, many drugs and human pathogens are species-specific (Walsh et al., 2017). These are limiting factors in translating many discoveries into clinical settings. Therefore, animal models that more faithfully recapitulate important features of human biology have been developed to study human diseases including cancer, allergy and graft-versus-host disease.

Immunocompromised mouse strains for xenotransplantation

Immunocompromised mice are widely used for xenotransplantation. A large number of naturally immunodeficient or gene deficient transgenic mouse strains and sub-strains are available.

Nude mice are the first naturally immunocompromised mice lacking mature T cells due to defective development of the thymic epithelium. However, the presence of functional B cells and especially natural killer (NK) cells limits the options for long term human cell transplantation. Jak3 deficient nude mice (Nude-J) with complete loss of NK cells overcome these limitations (Panaampon et al., 2021).

Severe combined immunodeficiency (Scid) mice carry a mutation in the Prkdc gene (scid mutation). This gene encodes for a DNA-dependent protein kinase (DNA-PK) that is involved in VDJ recombination and in DNA break repair. This affects both somatic rearrangement of antigen receptor genes in T cells and of antigen receptor genes in B cells, leading to a maturation stop of T and B lymphocytes at an immature stage. Therefore, Scid mice virtually lack both T and B lymphocytes and have nearly undetectable antibody titers in serum, but retain NK cells, macrophages and granulocytes. Only a few B cells and T cells may survive and expand after antigen contact – a phenomenon referred to as ‘leakiness’ (reviewed in Vladutiu, 1993). NOD/Scid Hybrid strains (NSG mice) have been generated by transferring the scid mutation into nonobese diabetic (NOD) mice and show decreased NK cell activity and decreased innate immunity (Belizàrio, 2009). NOD-scid IL2rg -/- strains have been generated by crossing NOD/Scid mice with NK cell lacking IL2rg -/- mice and show improved effectiveness in human cell engraftment (Belizàrio, 2009).

RAG mice have deletions in rag1 or rag2 recombination activating genes, which encode for lymphoid-specific proteins that play a crucial role in the early stages of T and B cell development. Similar to SCID mice, RAG mice lack mature B and T lymphocytes but do not show ‘leakiness’. Furthermore, RAG knock-out animals show a normal hematopoiesis with regard to the innate compartment of the immune system, e.g., macrophages and granulocytes (Mombaerts et al., 1992; Shinkai et al., 1992). 

Staining for T cells, B cells and Macrophages in spleens of a Rag2/ILrg Double Knockout mouse and a wild-type mouse

Figure 1: Staining for T cells, B cells and Macrophages in spleens of a Rag2/IL2rg double knockout mouse and a wild-type mouse. Immunohistochemical detection of the T cell marker CD3e (HS-413 108, 1:100), the B cell marker CD19 (HS-439 003, 1:100) and the macrophage marker F4/80 (HS-397 008, 1:100) in formalin fixed paraffin embedded sections of a Rag2/IL2rg double knockout mouse spleen (top row) and a wild-type mouse spleen (bottom row) reveals lack of mature B and T lymphocytes in the Rag2/IL2rg mouse. F4/80 positive macrophages are still present in the Rag2/IL2rg mouse spleen, however the microanatomical structure of white and red pulp is lost.

 

Mouse models for human cancer research

Cell-line-derived xenograft (CDX) models, in which human cell lines are injected into nude or Scid mice, are one of the oldest models for measuring drug efficacy in anticancer drug development. Cancer cell lines provide an indefinite source of biological material. Underlying genetic abnormalities that drive their phenotype are often well characterized. However, CDX models cannot accurately mimic the genetic heterogeneity of human tumors and tumor microenvironment (Pan et al., 2022).

In patient-derived xenograft (PDX) models, primary human tumor samples are engrafted into NSG mice. PDX models more accurately represent the complexity involved in natural tumor development, including tumor heterogeneity, tumor architecture, and microenvironment (Olson et al., 2018). The cancer microenvironment consists of tumor endothelial cells, cancer-associated fibroblasts, and tumor-associated macrophages and promotes cancer progression and metastasis (Koga et al., 2019). PDX models have been shown to be useful preclinical models for the development of anti-cancer drugs. Moreover, PDX models can be used as ‘avatar’ models in co-clinical trials, when established from the tumors of clinical trial participants (Koga et al., 2019). However, PDX models are limited to chemotherapeutic drugs and cannot be used for experimental immune therapy approaches, since a functional immune system is missing in these animals. New approaches in cancer immunotherapy such as non-specific immunotherapy, cancer vaccines, oncolytic virus therapy, monoclonal antibodies, immune checkpoints and T cell therapy, generate the need for animal models with an intact immune system. As the murine immune system does not accurately reflect human biology, mice with a fully competent human immune system are better models for testing immunotherapeutic efficacy (Choi et al., 2018).

Humanized mice with functional human immune system are a powerful tool to study interactions between human immune components and human cancer cells (Tian et al., 2020). Reconstitution of a human immune system can be accomplished by transplantation of human adult peripheral blood mononuclear cells (PBMCs) or umbilical cord human CD34+ cells into immunodeficient mice. The use of genetically modified immunodeficient mice expressing human growth factors can promote the expansion of human immune populations (Olson et al., 2018). However, one major limitation of most humanized cancer mouse models is that the reconstructed human immune system is allogeneic to the inoculated human tumor. In an ideal humanized PDX model system, the hematopoietic stem cells would be autologous to the engrafted tumor.
 

Schematic illustration of CDX, PDX and humanized mice for human cancer research

Figure 2: Schematic illustration of CDX, PDX and humanized mice for human cancer research.

 

Application of species-specific antibodies in humanized mouse models

Histological analysis of humanized mouse models is complicated by the fact that widely used antibodies have often been developed to function in many species and thus do not discriminate between human and mouse components in humanized mouse models. Species-specific HistoSure Xenograft Pathology antibodies have been specifically designed and developed to fill this antibody gap.

Discrimination of human and murine cells in a human mouse chimeric background

When xenotransplanting human derived cells into immune incompetent mice, it is of major interest to follow the faith of the implanted cells. Tumor development in respect to treatment with putative anticarcinogenic substances is a central question in pre-clinical oncology studies.
HistoSure offers several human- and mouse-specific antibodies against marker proteins that can be used to safely track the development of human cells in this system.

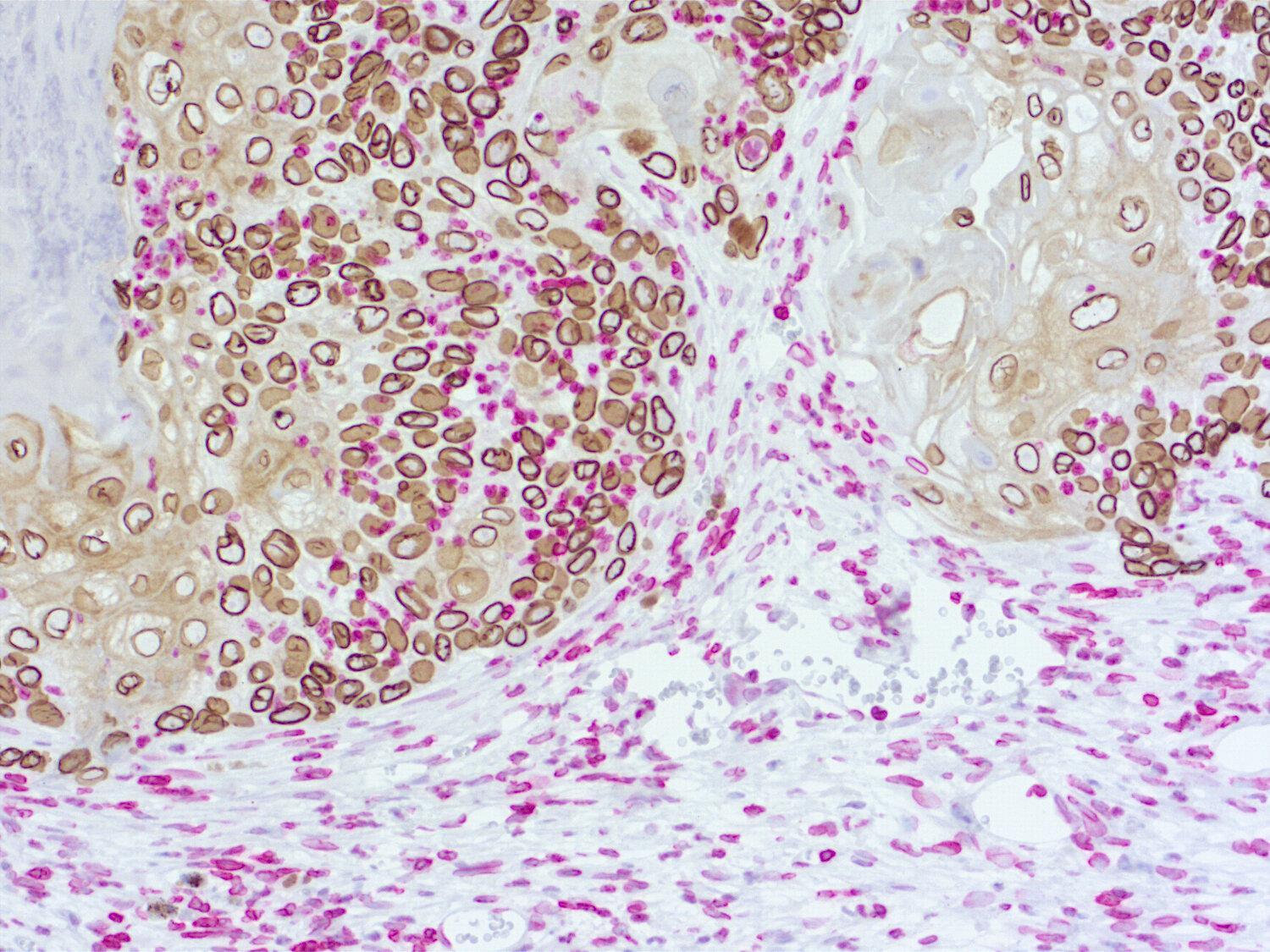
Lamin B1 is a fundamental component of the nuclear lamina and is expressed in most cell types. Although aberrant Lamin B1 expression has been associated with tumor aggressiveness and invasiveness (reviewed in Evangelisti et al., 2021), simultaneous detection of mouse and human Lamin B1 can be used to visualize cells of human and murine origin in a mixed background (Figure 3A).

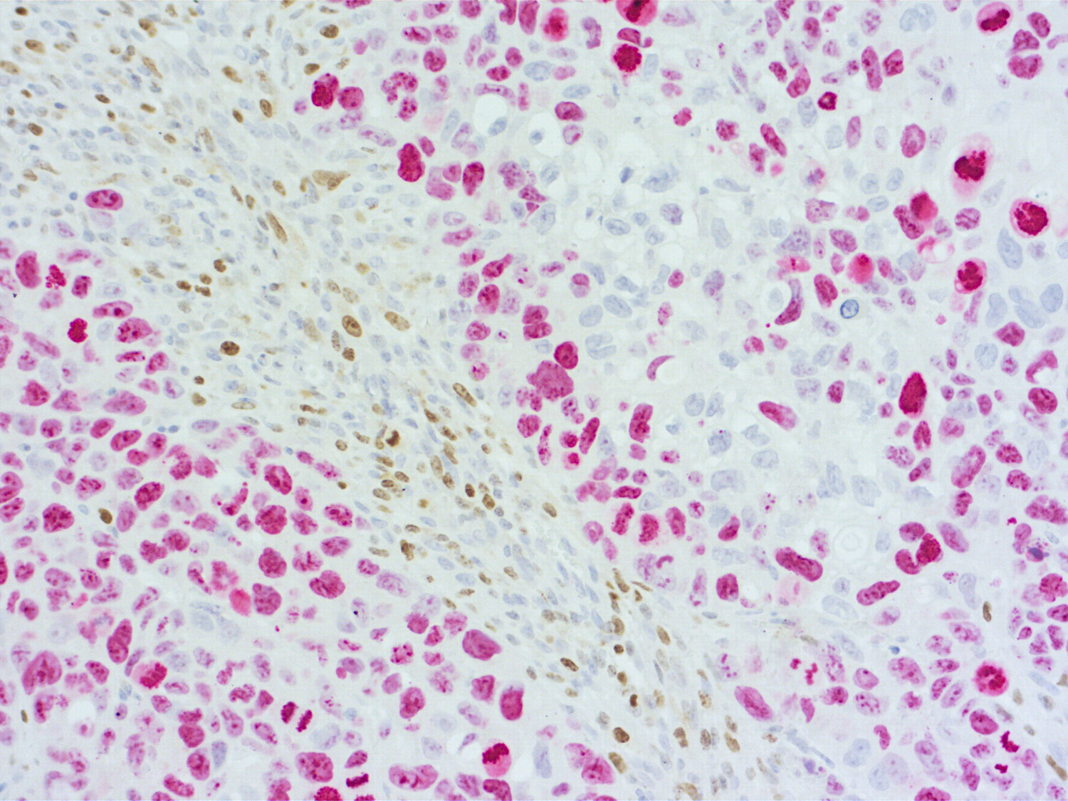
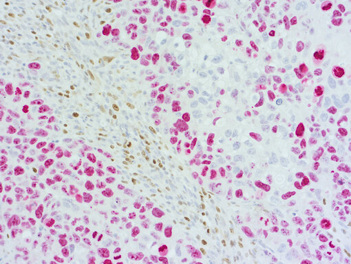
Ki67 is a marker of cell proliferation and an important biomarker for therapy response. Immunohistochemical doublestaining of human and mouse Ki67 is useful to simultaneously quantify proliferation in human and murine cell compartments (Figure 3B).
 

Immunohistochemical doublestaining of patient-derived lung cancer model
Immunohistochemical doublestaining of patient-derived pancreas cancer model

Figure 3a: Immunohistochemical doublestaining of patient-derived lung cancer model using rat anti-human Lamin B1 (cat.no. HS-404 017; DAB, brown color) and rabbit anti-mouse Lamin B1 (cat.no. HS-404 003; AP-RED, red color). Nuclei were counterstained with haematoxylin. 

Figure 3b: Immunohistochemical doublestaining of patient-derived pancreas cancer model using rabbit anti-human Ki67 (cat.no. HS-398 003; AP-RED, red color) and rat anti-mouse Ki67 (cat.no. HS-398 117; DAB, brown color). Nuclei were counterstained with haematoxylin.

 

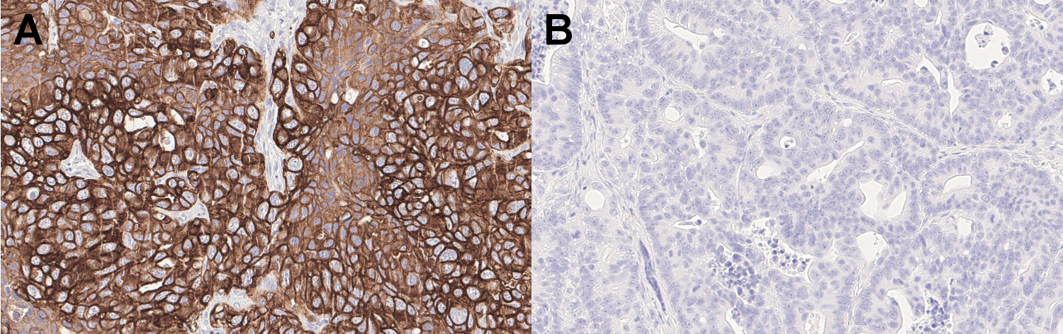
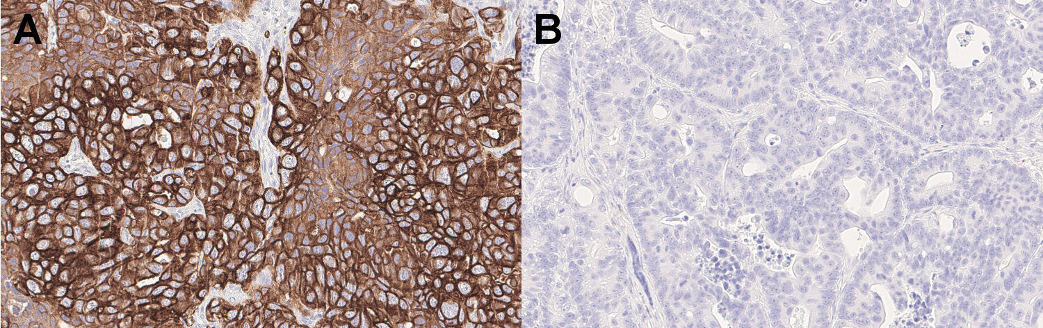
Cytokeratin 7 (CK7) is a type II keratin specifically expressed in the simple epithelia lining the cavities of the internal organs and in the gland ducts and blood vessels. The HistoSure human-specific anti-CK7 rat monoclonal antibody uniquely detects CK7 expression in human tumor cells but not in the murine tumor environment.

Immunohistochemical staining of formalin fixed paraffin embedded sections of A: a CK7-positive human pancreatic adenocarcinoma and B: a CK7-negative human colon carcinoma

Figure 4: Immunohistochemical staining of formalin fixed paraffin embedded sections of (A) a CK7-positive human pancreatic adenocarcinoma and (B) a CK7-negative human colon carcinoma engrafted into immunocompromised mice (xenografts) with rat anti-Cytokeratin 7 (cat. no. HS-454 017, dilution 1:100, DAB). This antibody is fully human-specific and does not stain murine CK7 positive cells. Nuclei have been counterstained with haematoxylin (blue).

 

Detection of human immune cells in humanized mice

Composition and duration of the human immune system engrafted into immunodeficient mice depends on the source and implantation route of the human hematopoietic stem cells (HSCs) (Hess et al., 2020; Curran et al., 2019) and the mouse strain used for implantation (Mian et al., 2021). Injection of human PBMCs allows rapid engraftment of mature T cells, however, human B cells are found only at lower levels, and mice rapidly develop graft-versus-host disease. Injection of human hematopoietic stem cells into NSG strains leads to a more diverse repertoire of human cell populations. The major drawbacks of this model are the time required to establish it and the lack of a functional B and T cell compartment due to the absence of human primary lymphoid organs. Surgical transplantation of human fetal liver and thymus fragments prior to HSC injection overcomes this limitation and allows systemic repopulation of multiple lineages of human immune cells (reviewed in Curran et al., 2019).

Species-specific HistoSure Xenograft Pathology antibodies enable the discrimination between the de novo human immune cell compartment and resident murine immune cells. 
 

Human and murine leukocytes can be visualized using antibodies directed against the C-terminus of human and mouse CD45 (figure 5).

Indirect immunostaining of formalin fixed paraffin embedded sections of a humanized mouse tissue section

Figure 5: Indirect immunostaining of formalin fixed paraffin embedded sections of a humanized mouse tissue section with (A) anti-human Lamin B1 (HS-404 017, 1:100, red) and (B) anti-human CD45 (HS-427 003, 1:500, green) and anti-mouse CD45 (HS-427 017, 1:100, red). Nuclei have been counterstained with DAPI (blue).

 

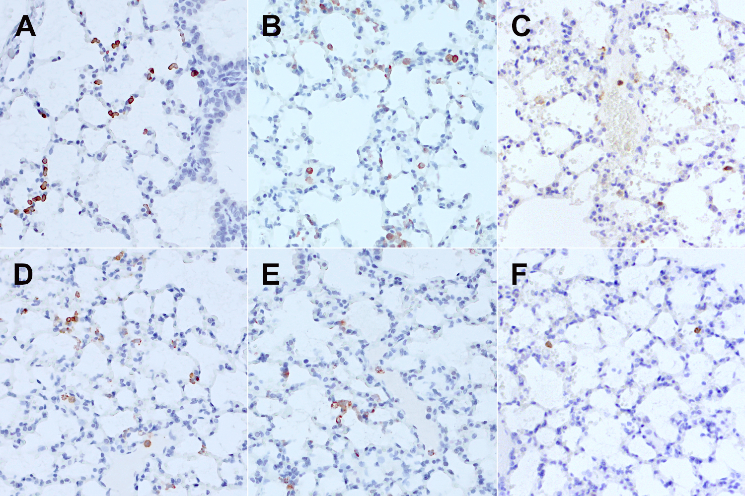
Species-specific antibodies against immune cell lineages differentiate between human and murine immune cell subsets (figure 6). Human CD11b+ + monocytic cells, human CD68+ macrophages, and human CD3e+ T cells are detected in a humanized lung model.

Immunohistochemical staining of formalin fixed paraffin embedded sections of a humanized mouse lung

Figure 6: Immunohistochemical staining of formalin fixed paraffin embedded sections of a humanized mouse lung with (A) anti-human Lamin B1 (HS-404 017, 1:100), (B) anti-human CD45 (HS-427 003, 1:1000), (C) anti-mouse CD45 (HS-427 017, 1:100), (D): anti-human CD11b (HS-384 017, 1:100), (E) anti-human CD68 (HS-460 017, 1:100) and (F) anti-human CD3e (HS-413 017, 1:750). Nuclei have been counterstained with haematoxylin (blue).

 

Mouse-specific and human-specific CD11b antibodies can also be used to differentiate infiltrating human CD11b+ cells from resident murine CD11b+ cells in a humanized mouse liver (Figure 7). Whereas Kupffer cells, which are distributed along the hepatic sinusoids in the normal mouse liver are defined as CD11blow F4/80high, monocyte derived macrophages are CD11b+ F4/80+ (Shan et al., 2020). Anti-mouse CD11b staining in the humanized mouse liver reveals higher numbers of murine CD11b+ cells displaying markedly different cell morphologies compared to the normal murine liver (Figure 7, second column). Mouse CD11b+ cells have a macrophage-like morphology. This may be an indicator of an inflammatory process (Figure 7).

Immunohistochemical staining of formalin fixed paraffin embedded sections of a wild-type mouse liver (upper row) and a humanized mouse liver (lower row)

Figure 7: Immunohistochemical staining of formalin fixed paraffin embedded sections of a wild-type mouse liver (upper row) and a humanized mouse liver (lower row) with first column: anti-F4/80 (HS-397 008, 1:100), second column: anti-mouse CD11b (HS-384 117, 1:100) and third column: anti-human CD11b (HS-384 017, 1:100). Nuclei have been counterstained with haematoxylin (blue). Last column: Indirect immunostaining with anti-mouse CD11b (HS-384 117, 1:100; green) and anti-human CD11b (HS-384 017, 1:100; red). Nuclei have been counterstained with DAPI (blue).

 

Author: Dr. Christel Bonnas
Scientific Director of HistoSure

Christel has a strong background in immunology and histopathology. She is responsible for antibody development, validation and quality control of our HistoSure product line.

 

Products

Dear Customer,
thank you for your interest in our products. Our high-quality antibodies are featured in the DNA-PAINT Neuro-Imaging Kits, which are developed and distributed by Massive Photonics GmbH.

To ensure your request is handled efficiently, please use the provided input form to contact Massive Photonics directly.

With kind regards,
Your SYSY Antibodies Team


Cat. No. Product Description Application Quantity Price Cart
HS-384 017
CD11b, rat, monoclonal, purified IgG IgG
human specific
WB IHC-P 200 µl$420.00
HS-384 117
CD11b, rat, monoclonal, purified IgG IgG
mouse specific
WB IHC IHC-P IHC-Fr 200 µl$420.00
HS-439 003
CD19, rabbit, polyclonal, affinity purifiedaffinity
mouse specific
WB ICC IHC IHC-P 200 µl$375.00
HS-413 017
CD3e, rat, monoclonal, purified IgG IgG
human specific
WB IHC-P 200 µl$420.00
HS-413 108
CD3e, rabbit, monoclonal, recombinant IgGrecombinant IgG
mouse specific
IHC IHC-P 100 µl$420.00
HS-427 003
CD45, rabbit, polyclonal, affinity purifiedaffinity
human specific
WB ICC IHC-P 50 µg$375.00
HS-427 017
CD45, rat, monoclonal, purified IgG IgG
mouse specific
IHC IHC-P IHC-Fr 200 µl$420.00
HS-460 017
CD68, rat, monoclonal, purified IgG IgG
human specific
WB ICC IHC IHC-P 200 µl$420.00
HS-454 017
Cytokeratin7, rat, monoclonal, purified IgG IgG
human specific
WB ICC IHC-P 200 µl$420.00
HS-397 008
F4/80, rabbit, monoclonal, recombinant IgGrecombinant IgGWB IHC IHC-P 100 µl$420.00
HS-398 003
Ki67, rabbit, polyclonal, affinity purifiedaffinity
human specific
IHC-P 200 µl$455.00
HS-398 117
Ki67, rat, monoclonal, purified IgG IgG
mouse specific
ICC IHC IHC-P 200 µl$420.00
HS-404 003
Lamin B1, rabbit, polyclonal, affinity purifiedaffinity
mouse specific
WB ICC IHC IHC-P 200 µl$375.00
HS-404 017
Lamin B1, rat, monoclonal, purified IgG IgG
human specific
WB ICC IHC-P 200 µl$420.00
Result count: 14
 

Literature

Yue et al., 2014: A comparative encyclopedia of DNA elements in the mouse genome. PMID: 25409824

Mestas et al., 2004. Of mice and not men: differences between mouse and human immunology. PMID: 14978070

Walsh et al., 2017: Humanized mouse models of clinical disease. PMID: 27959627

Panaampon et al., 2021. Establishment of Nude Mice Lacking NK Cells and Their Application for Human Tumor Xenografts. PMID: 33906298

Vladutiu 1993. The severe combined immunodeficient (SCID) mouse as a model for the study of autoimmune diseases. PMID: 8324894

Belizário 2009. Immunodeficient mouse models: An Overview. DOI: 10.2174/1874226200902010079

Mombaerts et al., 1992. RAG-1-deficient mice have no mature B and T lymphocytes. PMID: 1547488

Shinkai et al., 1992. RAG-2-deficient mice lack mature lymphocytes owing to inability to initiate V(D)J rearrangement. PMID: 1547487

Pan et al., 2022. Patient-derived xenograft models in hepatopancreatobiliary cancer. PMID: 35090441

Choi et al., 2018. Studying cancer immunotherapy using patient-derived xenografts (PDXs) in humanized mice. 

Olson et al., 2018. Mouse Models for Cancer Immunotherapy Research. PMID: 30309862

Koga et al., 2019. Systematic Review of Patient-Derived Xenograft Models for Preclinical Studies of Anti-Cancer Drugs in Solid Tumors. PMID: 31064068

Tian et al., 2020. Humanized Rodent Models for Cancer Research. PMID: 33042811

Evangelisti et al., 2021. The wide and growing range of lamin B related diseases: from laminopathies to cancer. PMID: 35132494

Hess et al., 2020. Different Human Immune Lineage Compositions Are Generated in Non-Conditioned NBSGW Mice Depending on HSPC Source. PMID: 33193358

Mian et al., 2021. Advances in Human Immune System Mouse Models for Studying Human Hematopoiesis and Cancer Immunotherapy. PMID: 33603749

Shan et al., 2020. Hepatic Macrophages in Liver Injury. PMID: 32362892

 

Certificates

ISO 9001 2015 Quality Management System and Green Lab Platinum certification level for sustaining laboratory processes.

Newsletter

Sign up for our newsletter and get the latest updates and news.
 

Please provide a valid E-Mail-Address
Please provide a valid First name
Please provide a valid Last name