Overview
Tissue-resident macrophages have specialized functions based on their locations and distinct gene expression profiles. They have been implicated in tissue development (e.g. bone formation, brain development, mammary gland development), tissue homeostasis (e.g. maintenance of insulin sensitivity, thermogenic gene induction, hepatic lipid homeostasis) and the resolution of inflammation. In contrast, recruited monocytes - that become macrophages in tissues - are viewed as key players during inflammation and pathogen challenge (Italiani et al., 2014).
Tissue-resident macrophages are a heterogeneous population of immune cells, that fulfill tissue-specific and niche-specific functions (Davies et al., 2013). The phenotype of tissue-resident macrophages is shaped by different factors, that can be subdivided into origin, intrinsic factors and extrinsic factors (figure 1) (Blériot et al., 2020).
Origin. Tissue-resident macrophages comprise cells arising from three distinct waves of precursors, embryonic yolk sac (YS), fetal liver and adult bone-marrow (BM) derived monocytes with tissue-specific proportions (Blériot et al., 2020). YS-derived macrophages (CD45+ CX3CR1bright F4/80bright) circulate in the blood and colonize the developing mouse embryo between E9.5 and E10.5, starting with the cephalic area. Only from E12.5 onwards when fetal liver hematopoiesis becomes active, a second population of F4/80low CD11bhigh cells appears (Schulz et al., 2012).
These fetal liver derived macrophages largely replace the early YS-derived macrophages, with exception of microglia and a proportion of Langerhans cells, that remain of yolk sac origin (Hoeffel et al., 2015).
Figure 1: Factors shaping the identity of tissue-resident macrophages (adapted from Blériot et al., 2020).
These fetal liver derived macrophages largely replace the early YS-derived macrophages, with exception of microglia and a proportion of Langerhans cells, that remain of yolk sac origin (Hoeffel et al., 2015).
Figure 1: Factors shaping the identity of tissue-resident macrophages (adapted from Blériot et al., 2020).
Murine tissue-resident macrophages derived from embryonic precursors, maintain their numbers in adults by self-renewal (Ginhoux et al. 2016). A third tissue-resident macrophage population arises from adult BM-derived precursors. As a consequence, each adult tissue contains a mosaic of three ontogenically distinct macrophage populations.
Intrinsic factors. Intrinsic factors affecting tissue-resident macrophage identity include the genetic background and the sex. Mutations in myeloid genes are associated with diseases such as myeloid leukemia (Mueller et al., 2002). Sexual identity influences for example microglial properties (Thion et al., 2018).
Extrinsic factors. How extrinsic factors are shaping the identity of tissue-resident macrophages is only just started to be identified. The local environment or "niche of residence" has a major impact on the macrophage phenotype. As tissues are not uniform - they consist of different cell types - organ-specific macrophages are also not uniform. Instead, within the same tissue different programs may be present in different subpopulations of macrophages located in unique sub-tissular niches (Blériot et al., 2020). The time that macrophages spent in a specific local environment furthermore impacts the macrophage identity. Newly arrived monocyte derived macrophages can co-exist with embryonic derived macrophages within the same organ.
Murine tissue-resident macrophages derived from yolk sac cells are characteristically F4/80high macrophages, e.g. Langerhans cells in the skin, Kupffer cells in the liver and microglia in the brain (Schulz et al., 2012). F4/80low CD11bhigh macrophages are of hematopoietic origin and are continuously replaced by BM derived progenitors. BM progenitors replace also classical dendritic cells and some F4/80high macrophages found particularly in the kidney and the lung (Schulz et al. 2012). Regardless of their origin, genetic and cell culture studies indicate the major lineage regulator of almost all macrophages is the colony stimulating factor 1 receptor, CSF1R (Wynn et al., 2013).
Table 1: Markers of murine tissue-resident macrophages available from SYSY / HistoSure.
| Marker | Antibody | Application |
|
CD11b |
CD11b antibody, product no: HS-384 103, rabbit, pAb |
Frequently used to identify macrophages and microglia, however not expressed by all tissue-resident macrophages. |
| CD11c |
CD11c antibody, product no: HS-375 003, rabbit, pAb |
Expressed on dendritic cells, monocytes, macrophages, neutrophils and a small subset of B-cells. |
| CD45 |
CD45 antibody, product no: HS-427 017, rat, mAb |
A marker protein for murine leukocytes. Expression level of CD45 is used to identify macrophage subpopulations. |
| CD163 | Mainly expressed by tissue-resident macrophages. Marker of perivascular macrophages in the CNS. | |
| CD169 | Marker for the marginal metallophilic macrophages (MMMs) of the spleen and the macrophages in the subcapsular sinus and medulla of lymph nodes. | |
| CD206 | Marker of border-associated macrophages in the brain and subpopulations of macrophages outside the CNS. | |
| CD86 | CD86 antibody, product no: HS-466 003 | Marker of classically activated M1 microglia and macrophages. |
| Chil3 |
Chil3 antibody, product no: HS-442 004, guinea pig, serum |
Secreted protein primarily produced by macrophages during inflammation. |
| Clec4F | Specifically expressed by Kupffer cells. | |
| F4/80 |
F4/80 antibody, product no: HS-397 008, rabbit, mAb |
Marker of murine macrophages. Expression varies between macrophage sub-populations. |
| IBA1 |
IBA1 antibody, product no: HS-234 017, IBA1 rt mAb |
Marker specific for microglia and macrophages. |
| MARCO | MARCO antibody, product no: HS-499 003, rabbit, pAb | Constitutive expression by peritoneal macrophages and splenic marginal zone macrophages. Induced after bacterial infection or intravenous injection of LPS. |
| Tmem 119 |
Tmem 119 antibody, product no: 400 008, rabbit, mAb |
Highly selective microglia marker protein. |
| VCAM1 | VCAM1 antibody, product no: HS-470 004, guinea pig, serum | Expressed on cytokine activated endothelium and in subsets of tissue-resident macrophages; e.g. red pulp macrophages in the spleen. |
A more detailed decription of murine tissue-specific macrophage subtypes in the CNS, intestine, liver, lung and spleen and useful markers for identification of these subtypes is given in the following sections.
Microglia are the key immune effector cells of the CNS and are distributed throughout the brain. Microglia act as sensors of pathological events and are important for the development and maintenance of the CNS. Microglia derive from erythro-myeloid progenitors in the yolk sac and are CX3CR1high IBA-1pos F4/80pos CD11bpos CD45low (figure 2) (Prinz et al., 2011). Tmem 119 is a highly specific cell-surface marker of microglia, that is not expressed by macrophages or other immune or neural cell types (Bennett et al., 2016). In inflammatory conditions, CD11b expression in microglia is increased in vivo and in vitro (Michels et al., 2020; Shen et al., 2017).
Figure 2: Resting microglia in formalin fixed paraffin embedded mouse brain tissue sections are stained with rabbit anti-F4/80 (HS-397 008, 1:100), rat anti-CD11b (HS-384 117, 1:100) or rat anti-IBA1 (HS-234 017, 10 µg/ml). Nuclei have been counterstained with haematoxylin (blue).
Figure 3: Indirect immunostaining of perivascular macrophages with rabbit CD163 (HS-455 003, 2 µg/ml; red) in a PFA fixed mouse brain section. CD163 co-localizes with IBA1 (Cat. 234 011, green) in perivascular macrophages but not in microglia. Anti-Alpha-smooth muscle Actin (Cat. 449 004, light blue) highlights the blood vessel borders. Nuclei have been counterstained with DAPI (blue).
Perivascular macrophages are located in the perivascular space of cerebral microvessels and are long-lived cells displaying negligible replenishment by circulating progenitors from the periphery (Kierdorf et al., 2019). They are implicated in local immune surveillance and are CX3CR1high CD163pos IBA-1pos F4/80pos CD11bpos CD45high (figure 3) (Woong-Ki Kim et al., 2006; Prinz et al., 2011)
Leptomeningeal and choroid plexus macrophages. Other specialized macrophage populations at the CNS borders include leptomeningeal and choroid plexus macrophages. Together with the perivascular macrophages they are thought to support and maintain the barrier function of CNS-associated structures and to control metabolite and antigen exchange with the CNS (Kierdorf et al., 2019).
Figure 4: Sub-tissular niches in the mouse intestine (adapted from Viola et al., 2020a). Intestinal macrophages are mostly found within the villi of the lamina propria. Macrophages in the submucosa lie closely associated to neurons and blood vessels. Muscularis macrophages are located within the muscularis externae.
Figure 5: Detection of macrophages and dendritic cells in formalin fixed paraffin-embedded mouse colon. Rat anti-F4/80 (HS-397 017, 1:100) stains for mature macrophages, rat anti-CD11b (HS-384 117, 1:100) stains dendritic cells and macrophages, anti-rat IBA1 (HS-234 017, 10 µg/ml) detects activated and resting macrophages. Nuclei have been counterstained with haematoxylin (blue).
The intestine contains the largest pool of macrophages in the body (Bain et al., 2018). Intestinal macrophages can be classified according to their tissue location into lamina propria macrophages, submucosa macrophages and muscularis macrophages (figure 4). Another macrophage population is found in the mucosa-associated lymphoid tissues (MALT), namely the Peyer's Patches and the mesenteric lymph nodes (Viola et al., 2020a).
Intestinal macrophages are first established before birth from yolk sac or fetal liver precursors. Shortly after birth most embryo derived macrophages are rapidly replaced by adult monocyte derived cells (Gross et al., 2015), mainly in the lamina propria. However, a population of long-lived self-maintaining macrophages remains deeper in the gut wall and is associated with blood vessels and enteric and myenteric neurons of the submucosa and the muscularis externa (Viola et al. 2020a). Long-lived embryonic derived macrophages are also located in close proximity of Peyer's patches and Paneth cells (Ruder et al., 2020). Incoming Ly6Chigh monocytes differentiate into mature gut macrophages by upregulation of MHCII and CX3CR1. Fully matured tissue-resident gut macrophages express F4/80, CD64, CD163 and CD206 (figure 5) (Viola et al., 2020). Classical dendritic cells (cDC) also located in the lamina propria can be differentiated from macrophages by the absence of the macrophage markers F4/80, CD64 and CX3XR1. Three main cDC subsets subsets have been identified in mouse and human intestinal lamina propia: CD103pos CD11bneg cDCs of type 1, CD103pos CD11bpos cDCs of type 2 and CD103neg CD11bpos cDCs of type 2 (Sun et al., 2020).
Lamina propria macrophages are positioned in the first line of defence to respond to bacteria and food antigens that breach the intestinal barrier and are thus crucial for maintaining the balance between pathogen defence and oral tolerance (Ruder et al., 2020). Lamina propria macrophages are highly phagocytic and express high levels of MHCII. Lamina propria macrophages exhibit functions to preserve intestinal epithelial integrity, such as pathogenic clearance and phagocytosis of dead cells (Viola et al., 2020a).
Muscularis macrophages are transcriptionally and morphologically different and are characterised by up-regulation of CD163, Retnla and Mrc1 (Viola et al., 2020). Moreover, they express M2-associated genes like Arg1 and Chil3 (Ruder et al., 2020). Muscularis macrophages have been shown to regulate the neuronal development of the enteric nervous system and to directly interact with the smooth muscle cells (Viola et al., 2020a).
Submucosa macrophages are also specialized in enteric neuron and blood vessel support (Viola et al., 2020a). Submucosal neuron-associated macrophages are self-maintaining and upregulate genes, which have been reported to be enriched in microglia, including Fcrls, Mef2a, Hexb and Gpr3 (Viola et al., 2020b).
Figure 6: Sub-tissular niches in the mouse liver (adapted from Blériot et al., 2020). The most abundant macrophage population is composed by Kupffer cells in liver sinusoids.
Figure 7: Chromogenic doublestaining using anti-F4/80 (HS-397 008, 1:100, AP-RED) and anti-CD11b (HS-384 117, 1:100, DAB) distincts F4/80high CD11bneg Kupffer cells from F4/80neg CD11bhigh monocytes and neutrophils. Nuclei have been counterstained with haematoxylin (blue).
The liver contains multiple macrophage populations: Kupffer cells, which represent the most abundant liver macrophage population, capsular macrophages, recruited monocyte-derived macrophages and recruited peritoneal macrophages (figure 6) (Blériot et al., 2019).
Kupffer cells are mostly F4/80pos CD11bneg Ly6cneg (Elchaninov et al., 2020), derive from fetal liver monocytic precursors, are self-renewing and are located in liver sinusoids where they are in direct contact with the blood compartment (figure 7). Kupffer cells are involved in clearing of apoptotic cells and immune complexes, recognize and eliminate foreign pathogens and control iron, cholesterol and bilirubin balance of the blood (Dou et al., 2020). The C-type lectin receptor CLEC4F is expressed exclusively in mouse liver Kupffer cells (KCs), and its expression distinguishes KCs from recruited macrophages (Dou et al., 2020). In the mouse liver CD163 is expressed at high level only by large Kupffer cells (Elchaninov et al., 2019), whereas CD11b is expressed at higher levels in bone-marrow derived macrophages (Elchaninov et al., 2019).
Liver capsular macrophages arise from adult circulating monocytes and are F4/80high CD11bpos CD11cpos Ly6Cpos (Blériot et al., 2019). In inflammatory conditions blood monocyte-derived macrophages (F4/80neg to high CD11bpos to high CD11cneg Ly6Cpos to high) and mature peritoneal macrophages (F4/80high CD11bhigh CD11cneg Ly6Cpos) can infiltrate into the liver (Blériot et al, 2019).
Figure 8: Sub-tissular niches in the mouse lung (adapted from Blériot et al., 2020). The mouse lung contains two main tissue-resident macrophage populations: alveolar macrophages in the alveoli and interstitial macrophages associated to blood vessels or nerves.
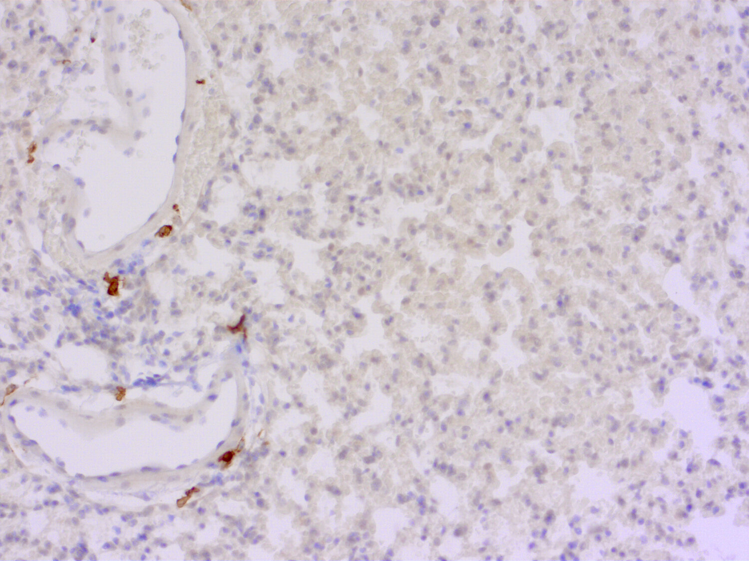
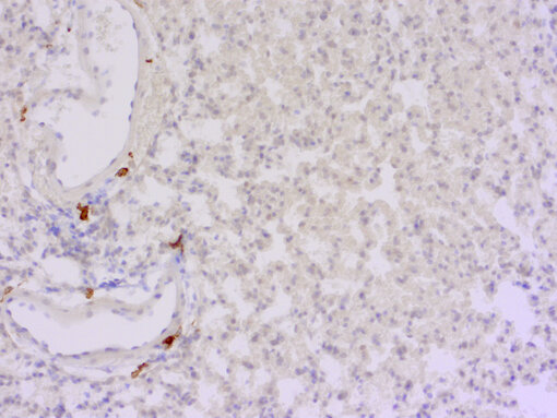
Figure 9: Staining for rabbit CD163 (HS-455 003, 1:250) in formalin fixed paraffin-embedded mouse lung shows CD163-positive interstitial macrophages, whereas alveolar macrophages are CD163-negative. Nuclei have been counterstained with haematoxylin (blue).
The lung myeloid compartment consists of alveolar macrophages, dendritic cells, tissue monocytes and interstitial macrophages (figure 8) (Schyns et al., 2018).
Alveolar macrophages derive from embryonic precursors and have self-renewing potential (Akata et al., 2020). Alveolar macrophages are specialized in recycling of surfactant molecules and removal of debris and are CD11bneg SiglecF+pos CD11cpos CCR2neg CX3CR1neg (Schyns et al, 2018).
Interstitial macrophages derive from bone-marrow after birth (Akata et al., 2020) and replace embryonic primitive interstitial macrophages that preferentially localize to the peripheral and perivascular regions in the adult mouse (Tan et al., 2016). Interstitial macrophages are CD11bpos SiglecFneg CD11clow CCR2low CX3CR1pos (Schyns et al., 2018) and comprise several subsets that are associated to blood vessels (Chakarov et al., 2019) or to airway-associated nerves (Ural et al., 2020). In contrast to alveolar macrophages, interstitial macrophages highly express monocyte-related genes, such as CD14, Csf1r and CD163 (figure 9) (Gibbings et al. 2017). IBA1 is high in interstitial macrophages but low in alveolar macrophages (Donovan et al., 2018). F4/80 expression in embryonic primitive macrophages and in bone-marrow derived interstitial macrophages is down-regulated in postnatal life (Tan et al., 2016).
Figure 10: Sub-tissular niches in the mouse spleen (adapted from Blériot et al., 2020). Tissue-resident macrophages of the spleen are highly heterogeneous as a consequence of adaptation to their organ-specific localisation: red pulp macrophages, white pulp macrophages and two distinct macrophage population located in the marginal zone.
Figure 11: Double-staining of the macrophage markers rabbit anti-F4/80 (HS-397 008, 1:100, AP-RED, red color) and left image: rat anti-CD11b (HS-384 117, 1:100, DAB, brown color) or right image: rat anti-IBA1 (HS-234 017, 10 µg/ml, DAB, brown color) reveals distinct macrophage subpopulation in formalin fixed paraffin-embedded mouse spleen. Nuclei have been counterstained with haematoxylin (blue). WP = white pulp; RP = red pulp; MZ = marginal zone
The murine spleen consists of four macrophage subtypes: red pulp macrophages, white pulp macrophages and two different marginal zone macrophage subtypes (figure 10) (reviewed in Gonzales et al., 2018).
Red pulp macrophages derive from embryonic YS-macrophages and fetal progenitors and are F4/80pos VCAM1pos CD11blow CD163pos (figure 11). Red pulp macrophages are involved in clearance of effete red blood cells and perform immunological functions in response to inflammatory stimuli and parasite infection.
White pulp macrophages are F4/80neg CD68pos and are involved in the phagocytosis of apoptotic B cells (figure 11).Thus, they express high levels of the phagocytic receptors Mertk, Timd4 and CD36.
Marginal zone macrophages consist of two CD169pos SIGNR1pos subpopulations named marginal metallophilic macrophages (MMMs) and marginal zone macrophages (MZMs). MMMs are implicated in the degradation and clearance of viruses and act as antigen-presenting cells. MZMs highly express the scavenger receptor MARCO and are implicated in central tolerance. Red pulp macrophages, MMMs and MZMs stain positive for IBA1 (Nakagawa et al., 2017).IBA1 staining in white pulp macrophages is infrequent (figure 11) (Donovan et al., 2018).
Poster: Tissue-resident macrophages (TRMs) have specialized functions based on their locations and distinct gene expression profiles. They have been implicated in tissue development (e.g. bone formation, brain development, mammary gland development), tissue homeostasis (e.g. maintenance of insulin sensitivity, thermogenic gene induction, hepatic lipid homeostasis) and the resolution of inflammation. In contrast, recruited monocytes - that become macrophages in
tissues - are viewed as key players during inflammation and pathogen challenge.
Order your free DIN A1 copy of our poster by email: marketing (at) sysy.com
| Cat. No. | Product Description | Application | Quantity | Price | Cart |
|---|
| HS-384 103 | CD11b, rabbit, polyclonal, affinity purifiedaffinity mouse specific | WB ICC IHC IHC-P | 200 µl | $455.00 | |
| HS-384 117 | CD11b, rat, monoclonal, purified IgG IgG mouse specific | WB IHC IHC-P IHC-Fr | 200 µl | $420.00 | |
| HS-375 003 | CD11c, rabbit, polyclonal, affinity purifiedaffinity mouse specific | WB IHC IHC-P | 200 µl | $375.00 | |
| HS-375 004 | CD11c, Guinea pig, polyclonal, antiserumantiserum mouse specific | WB IHC IHC-P | 100 µl | $355.00 | |
| HS-455 003 | CD163, rabbit, polyclonal, affinity purifiedaffinity mouse specific | WB IHC IHC-P | 200 µl | $375.00 | |
| HS-427 017 | CD45, rat, monoclonal, purified IgG IgG mouse specific | IHC IHC-P IHC-Fr | 200 µl | $420.00 | |
| HS-466 003 | CD86, rabbit, polyclonal, affinity purifiedaffinity mouse specific | WB IHC IHC-P IHC-Fr | 50 µg | $375.00 | |
| HS-442 017 | Chil3, rat, monoclonal, purified IgG IgG mouse specific | WB ICC IHC IHC-P | 100 µg | $420.00 | |
| HS-501 003 | CLEC4F, rabbit, polyclonal, affinity purifiedaffinity C-terminal | WB IHC IHC-P | 50 µg | $375.00 | |
| HS-501 103 | CLEC4F, rabbit, polyclonal, affinity purifiedaffinity N-terminal | WB IHC IHC-P | 50 µg | $375.00 | |
| HS-397 004 | F4/80, Guinea pig, polyclonal, antiserumantiserum | IHC IHC-P | 100 µl | $355.00 | |
| HS-397 008 | F4/80, rabbit, monoclonal, recombinant IgGrecombinant IgG | WB IHC IHC-P | 100 µl | $420.00 | |
| HS-397 017 | F4/80, rat, monoclonal, purified IgG IgG | WB IHC IHC-P IHC-Fr | 200 µl | $420.00 | |
| HS-234 008 | IBA1, rabbit, monoclonal, recombinant IgGrecombinant IgG | WB ICC IHC IHC-P | 100 µl | $425.00 | |
| HS-234 013 | IBA1, rabbit, polyclonal, affinity purifiedaffinity K.O. | WB IHC IHC-P | 200 µl | $385.00 | |
| HS-234 017 | IBA1, rat, monoclonal, purified IgG IgG | WB ICC IHC IHC-P | 200 µl | $420.00 | |
| 400 004 | TMEM119, Guinea pig, polyclonal, antiserumantiserum K.D. mouse specific | IHC IHC-P IHC-Fr | 100 µl | $375.00 | |
| 400 008 | TMEM119, rabbit, monoclonal, recombinant IgGrecombinant IgG mouse specific | IHC IHC-P | 50 µg | $420.00 |